VAKA 44: Kalça Yerleşimli Indferansiye Pleomorfik Sarkom
- Gösterim: 50
Kalçada şişlik ile başvuran hastanın yapılan iğne biyopsisinde yumuşak doku sarkomu (ındferansiye pleomorfik sarkom) gelmesi üzerine kitle temiz sınırlar ile çıkarıldı ve yara yeri iyileşmesini takiben hasta radyoterapiye yönlendirildi
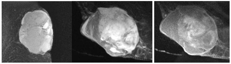
Ameliyat Öncesi: MR’da düzensiz sınırlı heterojen ve yoğun kontrast tutan kitle görülmekte

Ameliyat Öncesi ve Esnası: Tümör çıkarılmadan önce ve sonrasındaki klinik görüntü ve yaranın kapatılması görülmekte


