VAKA 46: Uyluk Yerleşimli Indferansiye Pleomorfik Sarkom
- Gösterim: 53
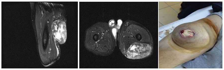
Uyluk arka bölümde şişlik ve üzerinde yara şikayeti ile başvuran hastanın yapılan iğne biyopsisinde yumuşak doku sarkomu (ındferansiye pleomorfik sarkom) gelmesi üzerine kitle temiz sınırlar ile çıkarıldı ve yara ada flep ile kapatıldı. Hasta yeri iyileşmesini takiben radyoterapiye yönlendirildi
Ameliyat Öncesi: MR’da uyluk üst arka kısımda düzensiz sınırlı heterojen kitle ve klinik olarak cilde açıldığı görülmekte

Ameliyat Esnası: Çıkarılan tümör dokusu, ada flebinin hazırlanması ve yaranın kapatılması görülmekte


