VAKA 47: Uyluk Yerleşimli Liposarkom
- Gösterim: 51
Uyluk bölgesinde kitle nedeniyle başka bir hastanede plansız girişim yapılmış ve patoloji sonucu cerrahi sınır pozitif yumuşak doku sarkomu (Liposarkom) gelmiş hastaya yatak rezeksiyonu (temiz sınırlar ile kalıntı tümör çıkarma) ameliyatı yapıldı ve yara iyileşmesini takiben hasta radyasyon onkolojisine yönlendirildi.
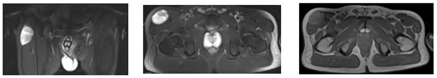
İlk Başvuru: İlk ameliyat öncesi MR’da uyluk üst ön kısımda heterojen yumuşak doku kitlesi görülmekte

Ameliyat Öncesi: İlk ameliyat sonrası MR’da uyluk üst ön kısımda kalıntı tümör dokusu ve çevreleyen ödem, PET_CT’de minimal artmış aktivite görülmekte

Ameliyat Esnası: Eski yarayı içine alacak şekilde insizyon hattının belirlenmesi, tümör çıkarıldıktan sonra oluşan boşluk ve yaranın kapatılması görülmekte


