VAKA 53: Uyluk Yerleşimli Rhabdomyosarkom
- Gösterim: 47
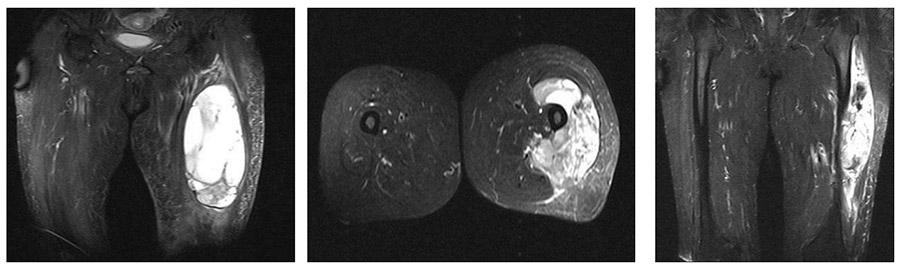
Uylukta şişlik ile başvuran hastanın yapılan muayenesi ve radyoloji tetkiklerinde kitle saptanması üzerine uygulanan iğne biyopsisinde yumuşak doku sarkomu (Rhabdomyosarkom) tanısı kondu ve radyoterapi sonrası tümör temiz sınırlar ile çılarıldı ve femur kemiği kırılmaması için çivileme ile güçlendirme ameliyatı uygulandı
Ameliyat Öncesi: MR’da uyluk dış kısımda femuru 180 dereceden fazla sarmış düzensiz sınırlı heterojen kitle görülmekte

Ameliyat Esnası: İnsizyon hattı, çıkarılan kitle ve oluşan boşluk görülmekte

Ameliyat Sonrası: Röntgende uygulanan intramedüller çivi görülmekte


