VAKA 9: Sağ İliak Kanat Yerleşimli Ewing Sarkom
- Gösterim: 1
Neoadjuvan kemoterapi sonrası internal hemipelvektomi ve fibula ve lumbopelvik fiksasyon ile rekonstrüksiyon işlemi uygulandı
- 12 yaş erkek hasta
- Sağ leğen kemiği üzerinde ağrı ve şişliğe bağlı yürüme güçlüğü ile başvurdu
- İliak kanat yerleşimli kitle saptanması üzerine yapılan iğne biyopsisinde Ewing sarkom tanısı konulan hastanın taramalarında metastaz saptanmadı
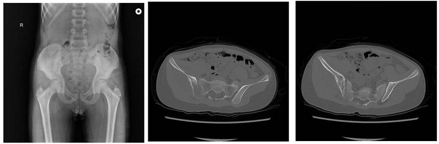
Ameliyat Öncesi: Röntgende sağ iliak kanatda düzensizlik, tomografide kemik harabiyeti ve periost reaksiyonu görülmekte

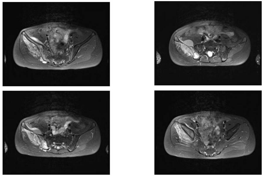
Ameliyat Öncesi: MR’da sağ ilaika kanatda yumuşak doku kitlesinin eşlik ettiği tümör dokusu görülmekte

Ameliyat Esnası: Rezeksiyon sonrası nörovasküler yapıların korunduğu, fibula ve rod/vida ile rekonstrüksiyon uygulanımı görülmekte

Ameliyat Esnası: Rezeksiyon dokusunun klinik ve skopi görüntüsü

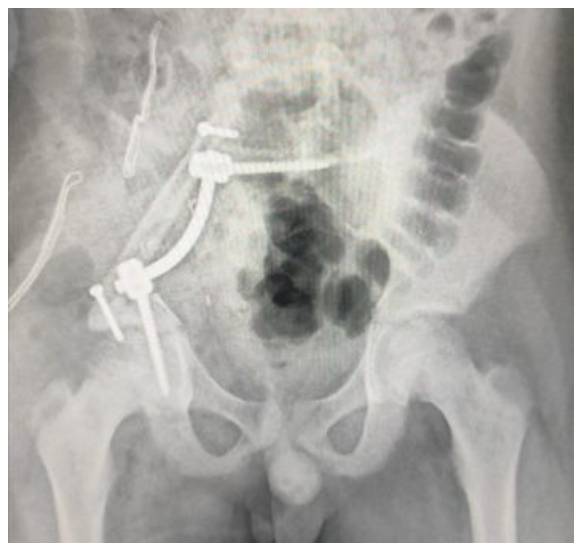
Ameliyat Sonrası: İnternal hemipelvektomi sonrası fibula ve rod/vida ile lumbopelvik fiksasyon uygulanımı görülmekte


