VAKA 10: Sağ İliak Kanat Malign Dev Hücreli Kemik Tümörü
- Gösterim: 1
Hastaya internal hemipelvektomi ve rekonstrüksiyon (vaskülerize fibula ve titanyum kafes ile lumbopelvik fiksasyon) uygulandı
- 44 yaş erkek hasta
- 2 kez sağ iliak kanat dev hücreli kemik tümörü nedeniyle opere olmuş
- Nüks nedeniyle yapılan iğne biyopsisi malign dev ücreli kemik tümörü gelen hastanın taramalarında metastaz saptanmadı
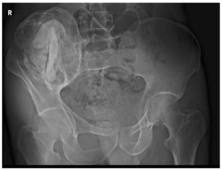
Ameliyat Öncesi: Röntgende sağ iliak kanatda düzensizlik, sement ve kitle lezyonu görülmekte

Ameliyat Öncesi: Tomografide sağ ilaik kanatda genişleme düzensizlik harabiyet ve sement varlığı görülmekte


Ameliyat Öncesi: PET_CT’de sağ ilaik kanat dış kısımda artmış yoğun aktivite görülmekte

Ameliyat Esnası: Eski ameliyat yarasını içine alınan insizyon planlaması görülmekte

Ameliyat Esnası: Rezeksiyon esnasında nörovasküler yapıların korunması ve uygulanan rekonstrüksiyon işlemi görülmekte

Ameliyat Esnası: Çıkarılan tümör dokusunun klinik ve skopi görüntüsü

Ameliyat Sonrası: Röntgende rezeksiyon sonrası fibula ve titanyum cage ile yapılan lumbopelvik fiksasyon görülmekte


