VAKA 12: Kalça (Proksimal Femur) Ewing Sarkoma Bağlı Patolojik Kırık
- Gösterim: 1
Proksimal femur yerleşimli Ewing sarkoma bağlı patolojik kırık nedeniyle kemoterapiyi takiben geniş rezeksiyon ve vaskülerize fibula ile rekonstrüksiyon yapılan kız çocuğu hastamız
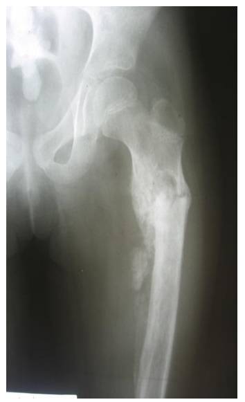
Ameliyat Öncesi: Röntgende proksimal femurda kırığa bağlı deformite, düzensizlik ve periost reaksiyonu görülmekte

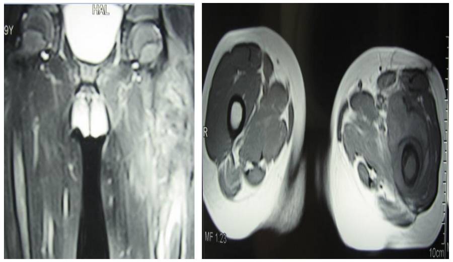
Ameliyat Öncesi: MR’da çevreleyen yumuşak doku kitlesi ve ödem görülmekte

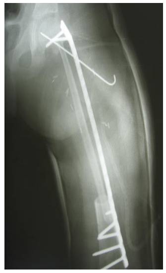
Ameliyat Sonrası: Röntgende çıkarılan tümörlü kemiğin yerine uygulanan vaskülerize fibulanın plak ve K teli ile fiksasyonu görülmekte


