VAKA 2 : Humerus Yerleşimli Ewing Sarkom
- Gösterim: 1
Humerus yerleşimli Ewing sarkom nedeniyle kemoterapi uygulanmış hastaya geniş rezeksiyon sonrası vaskülerize fibula ile rekonstrüksiyon işlemi uygulandı.
Ameliyat Öncesi: Röntgende humerus diafizde düzensizlik ve harabiyet görülmekte

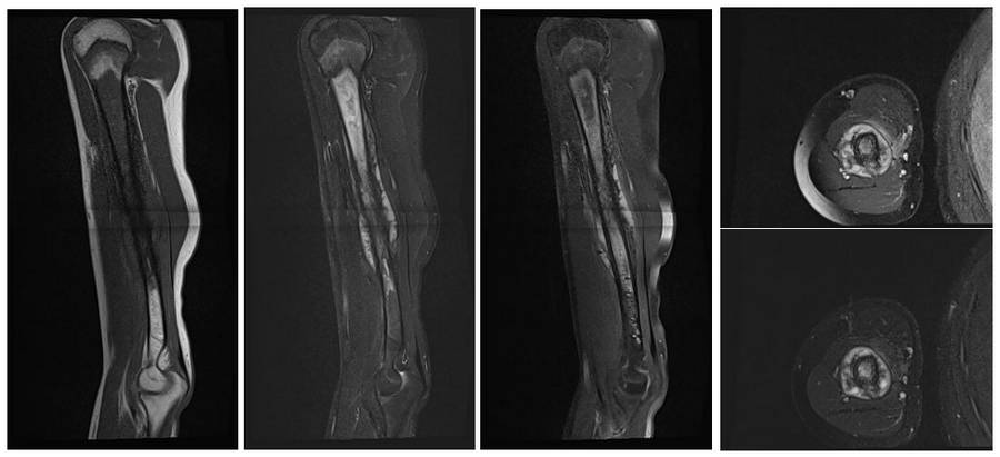
Ameliyat Öncesi: MR’da yumuşak doku komponenti ve çevreleyen ödem görülmekte

Ameliyet Öncesi ve Esnası: Eski açık biyopsi insizyon skarı ve dren yeri ile planlanan insizyon hattı görülmekte

Ameliyat Esnası: Çıkarılan tümör dokusunun klinik ve skopi görüntüsü görülmekte

Ameliyat Esnası: Rezeksiyon sonrası oluşan boşluk ile damar sinir dokuları görülmekte

Ameliyat Esnası: Alınan vaskülerize fibula dokusu, anasyomoz edilmesi ve akım görülmekte

Ameliyat Sonrası: Röntgende rezeksiyon sonrası uygulanan vaskülerize fibulanın uzun anatomik plak ile fiksasyonu ve nörolojik muayenenin doğal olduğunu gösteren video


