VAKA 6: Sakroiliak Yerleşimli Osteosarkom
- Gösterim: 2
24 yaş erkek
Bel ve sağ kalça ağrısı ile başvuran hastanın sağ sakroiliak bölgede kitle saptanması üzerine skopi altında iğne biyopsisi yapıldı ve Osteosarkom tanısı kondu
Taramalarında metastaz saptanmayan hastaya 3 kür kemoterapi sonrası sakroiliak rezeksiyon yapıldı ve oluşan boşluk aynı bacaktan alınmış vaskülerize fibula ve pedikül vidaları/rodlar ile yeniden yapılandırıldı
Ameliyat esnası ve sonrasında sorun yaşanmayan hasta yara iyileşmesini takiben kemoterapinin devamı için tıbbı onkolojiye yönlendirildi
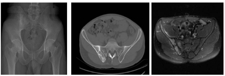
Ameliyat Öncesi: Röntgen, tomografi ve MR’da sağ sakroiliak bölgede düzensizlik ve harabiyet görülmekte

Ameliyat Esnası: İnsizyonun işaretlenmesi, rezeksiyon sonrası damar ve sinir yapıları ile rekonstrüksiyon uygulanımı görülmekte

Ameliyat Esnası: Çıkarılan tümörün klinik ve skopi görüntüsü

Ameliyat Sonrası: Röntgende sakroiliak rezeksiyon sonrası fibula ve pedikül vidası/rodlar ile rekonstrüksiyon görünmekte


