VAKA 18: Tibia yerleşimli Adamantinoma
- Gösterim: 1
Kaval kemiğinde ağrı ve şekil bozukluğu ile başvuran hastaya iğne biyopsisinde Adamantinoma tanısı kondu. Taramalarında metastaz saptanmayan hastaya geniş rezeksiyon ile tümörlü kemik temiz sınırlar ile çıkarıldıktan sonra oluşan boşluğa karşı bacaktan alınan fibula kemiği ile rekonstrüksiyon işlemi uygulandı.
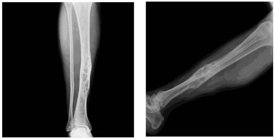
Ameliyat Öncesi: Röntgende tibia orta hatta düzensizlilk ve şekil bozukluğunun eşlik ettiği heterojen kitle dokusu görülmekte

Ameliyat Öncesi: MR’da kistik içerik tomografide ise harabiyet daha ayrıntılı görülmekte

Ameliyat Esnası: İnsizyon planlama, çıkarılan tümör dokusu, fibulanın çift plak ile fiksasyonu ve kas örtümü görülmekte

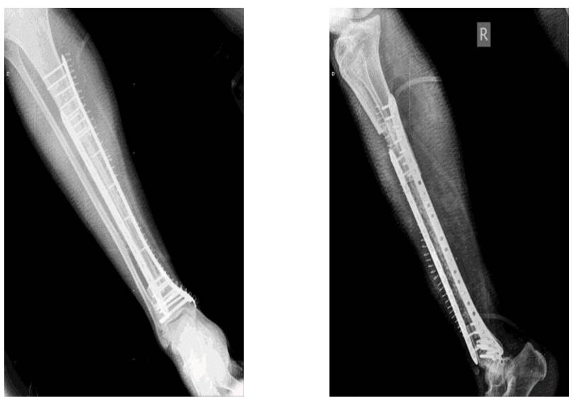
Ameliyat Sonrası: Röntgende fibulanın çift plak ile fiksasyonu görülmekte


