VAKA 1: Humerus Yerleşimli Osteosarkom
- Gösterim: 1
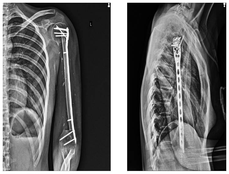
Humerus yerleşimli osteosarkoma bağlı patolojik kırık nedeniyle eksternal fiksatör uygulanmış ve radial sinir hasarına bağlı düşük el gelişen 14 yaş kız hastaya kemoterapiyi takiben geniş rezeksiyon sonrası vaskülerize fibula ile rekonstrüksiyon ve üçlü tendon transferi uygulandı
Ameliyat Öncesi: Röntgende humerus orta bölgede kemik harabiyetine neden olan düzensiz kitle ve uygulanan eksternal fiksatör görülmekte

Ameliyat Öncesi: Tomografide ciddi yıkım, düzensizlik ve periost reaksiyonu, PET’de yoğun artmış aktivite görülmekte

Ameliyat Öncesi: MR’da aynı lokalizasyonda kemikte patolojik kırığa neden olan heterojen, büyük boyutlu yumuşak doku komponentinin eşlik ettiği damar sinir paketini iten tümör dokusu görülmekte

Ameliyat Esnası: İnsizyon hattı, radial sinirin bulunması, rezeksiyon sonrası oluşan boşluk görülmekte

Ameliyat Esnası: Çıkarılan tümör dokusunun klinik görüntüsü ve hazırlanan vaskülerize fibulanın klinik görüntüsü

Ameliyat Sonrası: Röntgende rezeksiyon sonrası uygulanan vaskülerize fibula ve plak fiksasyonu görülmekte


