VAKA 14: Distal Femur Yerleşimli Osteosarkom
- Gösterim: 1
Distal femur yerleşimli Osteosarkom nedeniyle geniş rezeksiyon sonrası sıvı azot ile geri kazanım ve vaskülerize fibula ile kombine rekonstrüksiyon uygulanan 11 yaş erkek hastamız
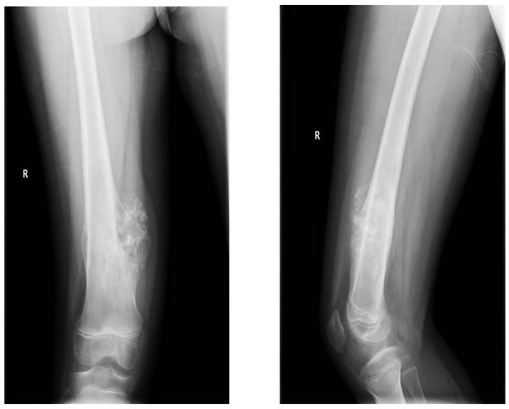
Ameliyat Öncesi: Röntgende distal femur medial yerleşimli kemikte harabiyete neden olan düzensiz sınırlı tümör kitlesi görülmekte

Ameliyat Öncesi: MR’da distal femur medial yerleşimli kemikte harabiyete neden olup yumuşak dokuya uzanan ve ödemin eşlik ettiği tümör dokusu görülmekte

Ameliyat Esnası: Çıkarılan tümör dokusunun klinik görüntüsü

Ameliyat Esnası: Geri kazanım öncesi kemiğin çevre yumuşak dokuda ve medulla tümör dokusundan sıyrılması

Ameliyat Esnası: Rekonstrüksiyon öncesi ve sonrası klinik görüntü

Ameliyat Sonrası: Röntgende geri kazanılan kemik dokusunun vaskülerize fibula ile kombine edildikten sonra proksimal ve distalden çift plak ile fiksasyonu görülmekte


