VAKA 17: Tibia Yerleşimli Adamantinoma
- Gösterim: 1
Kaval kemiğinde (Tibia) ağrı ve şekil bozukluğu şikayeti ile başvuran hastanın yapılan muayenesi ve radyoloji tetkikleri sonucu kitle saptanması nedeniyle uygulanan iğne biyopsisinde Adamantinoma tanısı kondu. Taramalarında metastaz saptanmayan hastaya geniş rezeksiyon sonrası sıvı azot ile geri kazanım ve vaskülerize fibula ile rekonstrüksiyon ameliyatı uygulandı
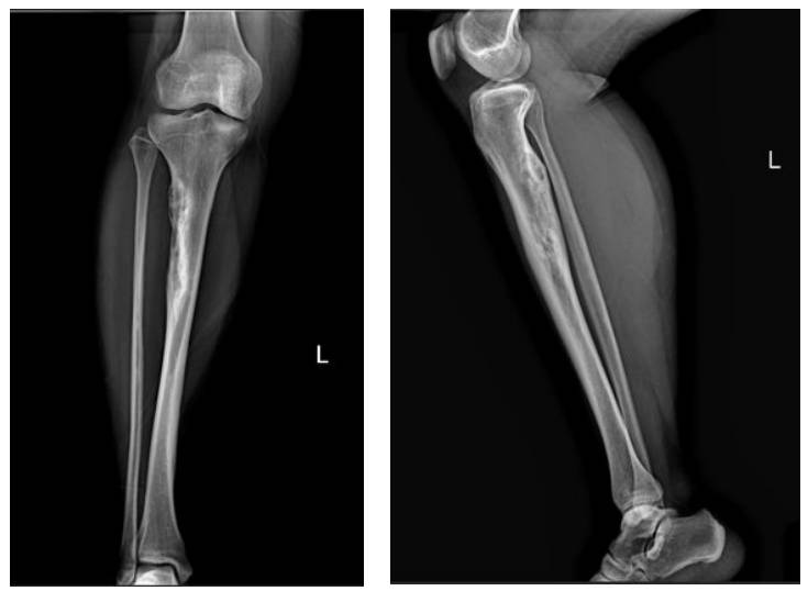
Ameliyat Öncesi: Röntgende proksimal tibia lateralde korteks harabiyeti ve düzensizlik görülmkte

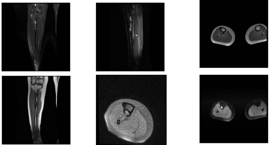
Ameliyat Öncesi: MR’da heterojen kitle olduğu görülmekte

Ameliyat Esnası: Skopide kitlenin proksimal ve distal sınırı işaretlenmekte

Ameliyat Esnası: Tibia mediali ortaya konduktan sonra proksimalden düz distalden basamak osteotomisi yapılarak kitlenin çıkarılması görülmekte

Ameliyat Esnası: Çıkarılan tümörlü kemik yumuşak dokularından sıyrılarak bir kaba konmakta ve üzerine sıvı azot dökülmekte

Ameliyat Esnası: Kemiğin 20 dakika sıvı azotta, 15 dakika oda havasında ve 15 dakika antibiyotikli sıvıda bekletilmesi görülmekte

Ameliyat Esnası: Çıkarılan tümörlü kemik ile vaskülerize fibula, geri kazanım uygulandıktan sonra kapak açılması ve kombine edilmesi görülmekte

Ameliyat Esnası: Vaskülerize fibulanın mikroskop eşliğinde hazırlanması ve fiksasyon sonrası anastomoz edilmesi görülmekte

Ameliyat Sonrası: Röntgende geri kazanılan kemik ve fibulanın anatomik plak ile fiksasyonu görülmekte


