VAKA 3: Kol (Humerus) Yerleşimli Kondrosarkom
- Gösterim: 1
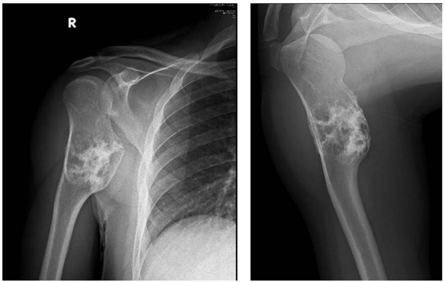
Humerus yerleşimli osteokondrom zemininde gelişmiş kondrosarkom nedeniyle geniş rezeksiyon ve vaskülerize fibula ile rekonstrüksiyon yapılan genç erkek hastamız
Ameliyat Öncesi: Röntgende proksimal humerusda kemikte ekspansiyona enden olan düzensiz kitle görünmekte

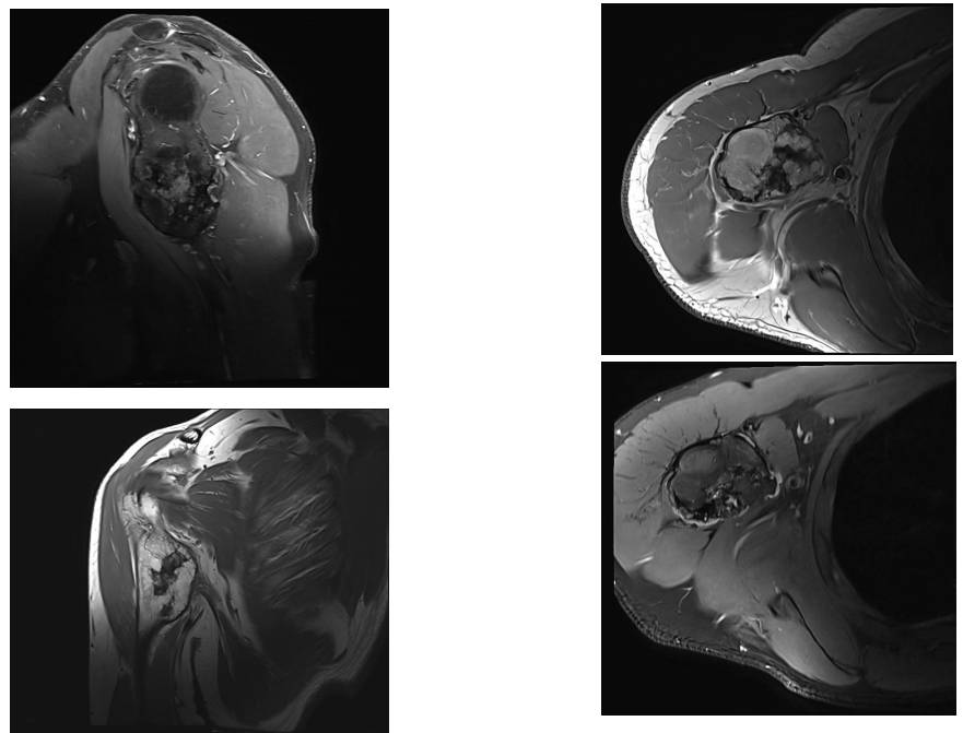
Ameliyat Öncesi: MR’da kitlenin vasküler yapılara yakınlığı görülmekte

Ameliyat Esnası: Çıkarılan tümör dokusunun klinik ve radyolojik görüntüsü

Ameliyat Esnası: Hazırlanan vaskülerize fibula ve anastomoz yapılacak aksiller arter ve ven

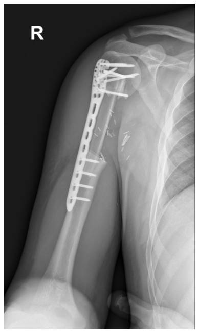
Ameliyat Sonrası: Röntgende rezeksiyon sonrası uygulanan vaskülerize fibulanın anatomik plak ile fikse edilmesi görülmekte


