VAKA 7: İliak Kanat Posterior Yerleşimli Osteosarkom
- Gösterim: 1
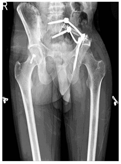
Hastaya 3 kür kemoterapi sonrası geniş rezeksiyon (Tıp I+IV) sonrası fibula ve rod/vida ile rekonstrüksiyon uygulandı
- 24 yaş erkek hasta
- Sol kalça arkasında ağrı ve şişlik hissi ile başvurdu
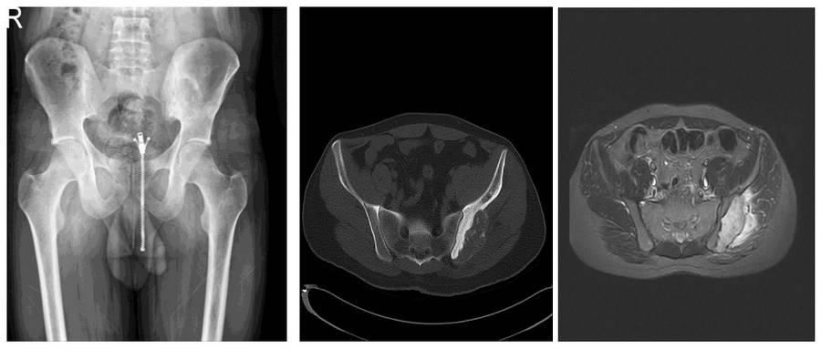
- Yapılan radyolojik tetkiklerde sol iliak kanat posteriorda kemik harabiyetine neden olan ve yumuşak doku komponenti bulunan kitle saptandı
- İğne biyopsisi osteosarkom olarak gelen hastanın taramalarında metastaz saptanmadı
Ameliyat Öncesi: Röntgen’de sol iliak kanat posteriorda düzensizlik, Tomografi’de kemik harabiyeti, MR’da eşlik eden yumuşak doku komponenti görülmekte

Ameliyat Öncesi: PET-CT ve sintigrafi’de artmış yoğun aktivite görülmekte

Ameliyat Esnası: Rezeksiyon ve rekonstrüksiyon uygulanımı görülmekte

Ameliyat Esnası: Çıkarılan rezeksiyon dokusunun klinik ve radyolojik görüntüsü

Ameliyat Sonrası: İnternal hemipelvektomi sonrası fibula ve rod/vida ile rekonstrüksiyon görülmekte


