VAKA 13: Uyluk kemiği (Femur) Yerleşimli Osteosarkom
- Gösterim: 1
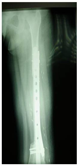
Femur diafiz yerleşimli parosteal osteosarkom nedeniyle geniş rezeksiyon ve vaskülerize fibula ile rekonstrüksiyon yapılan genç kadın hastamız
Ameliyat Öncesi: MR’da femur diafiz anterior yüzeyden kaynaklanan düzenli sınırlı tümör dokusu görülmekte

Ameliyat Esnası: Rezeksiyon sonrası vasülerize fibula uygulanımı ve titanyum plak ile fiksasyon görülmekte

Ameliyat Sonrası: Röntgende rezeksiyon sonrası vasülerize fibula uygulanımı ve çift plak ile fiksasyon görülmekte


