VAKA 16: Kaval kemiği (Tibia) Yerleşimli Osteosarkom
- Gösterim: 1
Proksimal tibia yerleşimli osteosarkom nedeniyle kemoterapiyi takiben geniş rezeksiyon sonrası sıvı azot ile geri kazanım sonrası aynı taraf vaskülerize fibula ve gastroknemius kas flebi ile rekonstrüksiyon işlemi yapılan erkek çocuk hastamız
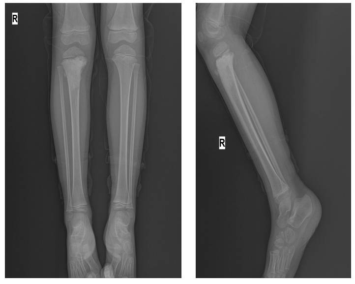
Ameliyat Öncesi: Röntgende proksimal tibiada düzensiz sınırlı sklerotik lezyon görülmekte

Ameliyat Öncesi: Tomografide aynı lokalizasyonda kemikte harabiyet ve yumuaşak dokuya uzanım görülmekte

Ameliyat Öncesi: MR’da ek olarak çevreleyen yaygın ödem görülmekte

Ameliyat Esnası: Rezeksiyon sonrası sıvı azot ile geri kazanım görülmekte

Ameliyat Esnası: Rezeksiyon sonrası oluşan boşluk, geri kazanılmış kemiğin titanyum plak ile fiksasyonu, patellar tendon stürasyonu ve gastroknemius flep hazırlanması görülmekte

Ameliyat Esnası: Gastroknemius ve soleus kas flep ile yumuşak doku örtümü görülmekte

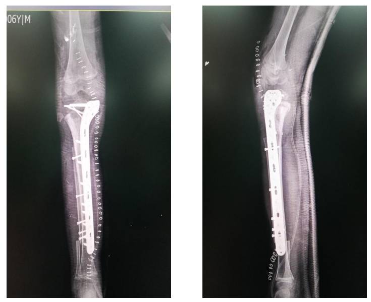
Ameliyat Sonrası: Röntgende rezeksiyon sonrası geri kazanılmış kemik ve fibulanın titanyum anatomik plak ile fiksasyonu görülmekte


