VAKA 15: Diz (Distal Femur) Yerleşimli Osteosarkom
- Gösterim: 1
Distal femur medial yerleşimli osteosarkom nedeniyle kemoterapiyi takiben hemikortikal rezeksiyon sonrası sıvı azot ile geri kazanım ve vaskülerize fibula ile kombinasyon uygulanan genç kadın hastamız
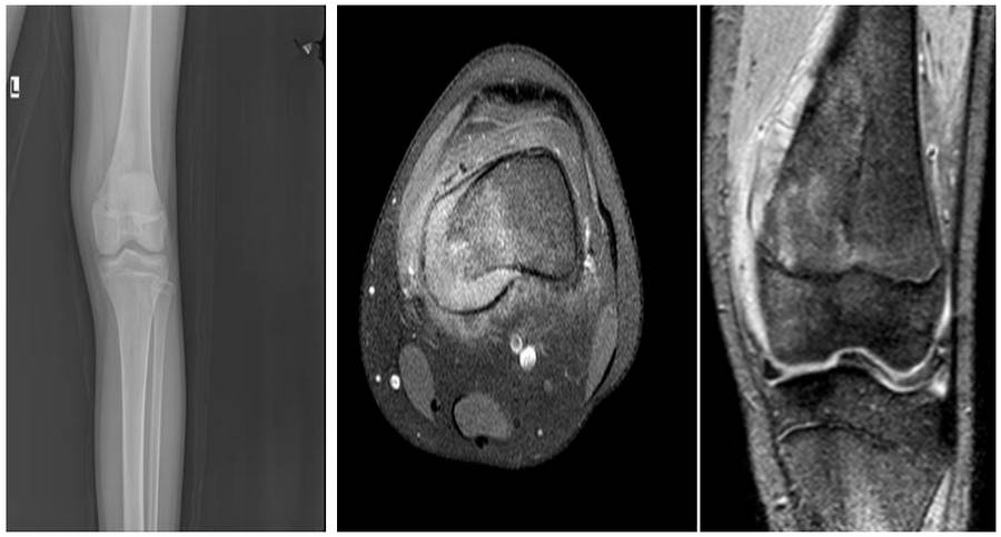
Ameliyat Öncesi: Röntgende distal femur medialde düzensizlik, MR’da aynı lokalizasyonda harabiyet ve yumuşak dokuya uzanan tümör dokusu görülmekte

Ameliyat Esnası: Rezeksiyon sonrası oluşan boşluk, geri kazanılan kemik, vaskülerize fibulanın yerleşimi ve fiksasyon uygulanımı görülmekte

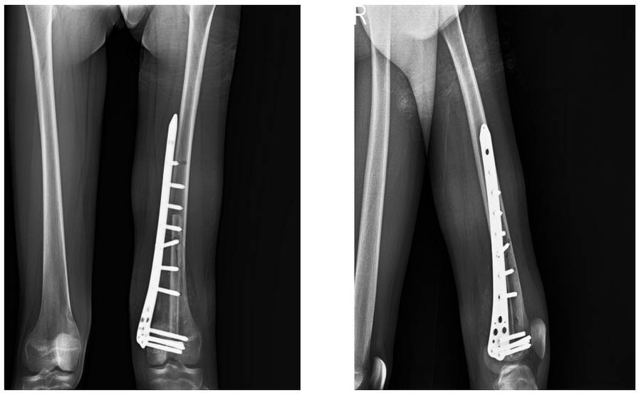
Ameliyat Sonrası: Röntgende fibula ile kombine edilmiş geri kazanılmış kemiğin titanyum anatomik plak ile uygulanımı görülmekte


