VAKA 4: Torokal Vertebra Nüks Osteosarkom
- Gösterim: 1
Metastazı olmadığı ve kemoterapisini tamamladığı için kalp dama cerrahisi, göğüs cerrahisi ve omurga cerrahisi ile birlikte çoklu seviye enblok korpektomi sonrası oluşan boşluğun vaskülerize fibula+titanyum cage ve posterior enstrümentasyon ile yaniden yapılandırılması işlemi başarı ile uygulandı
Ameliyat esnası ve sonrasında sorun yaşanmayan hasta yara iyileşmesini takiben tıbbı onkolojiye yönlendirildi.
- 25 yaş kadın hasta
- 2021 2.ay ilk, 2022 4.ay ikinci, 2023 4.ay 3.operasyon hikayesi mevcut
- 6 kür kemoterapi tedavisi görmüş
- Metastaz yok
- Hasta başvurduğunda parapleji tamamlanmıştı yani bacaklarda tam felç hali vardı
Ameliyat öncesi: Röntgende daha önceki ameliyatlarda uygulanan enstrümentasyon ve cage ile birlikte nüks tümörün yumuşak doku gölgesi görülmekte

Ameliyat öncesi: Tomografi kesitlerinde daha önce uygulanan kafes ve enstrümentasyon ile birlikte tümör nüksü görülmekte

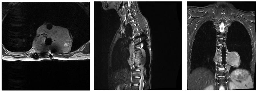
Ameliyat öncesi: MR’da büyük boyutta tümör nüksü görülmekte

Ameliyat esnası: Korpektomi sonrası fibula, cage ve enstrümentasyon uygulaması ve yaranın kapatılması görülmekte

Ameliyat esnası: Çıkarılan omurgaların klinik ve skopi görüntüleri

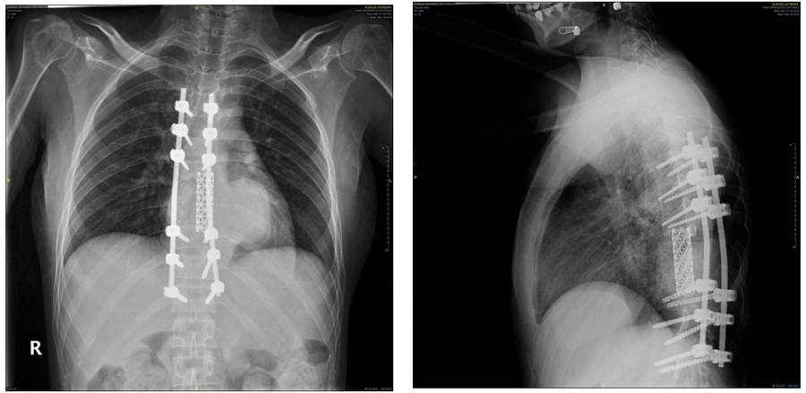
Ameliyat sonrası: Röntgende korpektomi sonrası fibula, cage ve enstrümentasyon uygulaması görülmekte


