VAKA 5: Sakrum Yerleşimli Osteosarkom
- Gösterim: 1
Neoadjuvan kemoterapiyi takiben iliak kanat posterior ve beşinci lomber vertebra yarısı dahil total sakrektomi sonrası titanyum kafes, vaskülerize fibula ve lumbopelvik fiksasyon ile rekonstrüksiyon işlemi uygulandı
- 25 yaş erkek hasta
- Bel, kalça ve bacak ağrısına eşlik eden uyuşma ve karıncalanma nedeniyle yürüme güçlüğü şikayeti ile başvurdu
- Hastanın yapılan iğne biyopsisinde osteosarkom tanısı konulması üzerine taramalarında metastaz saptanmadı
Ameliyat Öncesi: Röntgende sağ sakroiliak bölgede düzensizlik ve ossifikasyon görülmekte

Ameliyat Öncesi: MR’da sağ iliak kanat posterior sakroiliak bölge üst kısım ve sakrumun tamamına yakınını kapsayan tümör dokusu ve çevreleyen ödem görülmekte

Ameliyat Öncesi: MR’da sağ iliak kanat posterior sakroiliak bölge üst kısım ve sakrumun tamamına yakınını kapsayan tümör dokusu ve çevreleyen ödem görülmekte

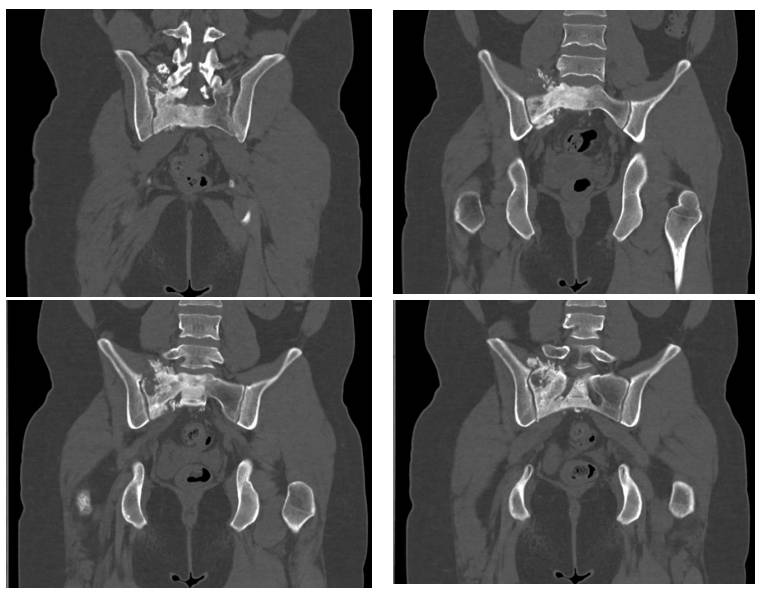
Ameliyat Öncesi: Tomografide sağ sakroiliak bölgede düzensizlik ve sklerozun eşlik ettiği tümör dokusu görülmekte

Ameliyat Öncesi: Tomografide sağ sakroiliak bölgede düzensizlik ve sklerozun eşlik ettiği tümör dokusu görülmekte

Ameliyat Esnası: Rezeksiyon dokusunun klinik ve skopi görüntüsü

Ameliyat Esnası ve Sonrası: Total sakrektomi sonrası fibula, titanyum kafesler ve lumbopelvik fiksasyon ile yapılan rekonstrüksiyon işleminin klinik ve röntgen görüntüsü


