Vaka 6: Akciğer Kanseri Sol Kol Kemiği (Humerus) Metastazına Bağlı Kırık Gelişimi
- Gösterim: 12
Akciğer kanseri olan hastalarda kemik metastazları sık görülür ve en çok omurga ile uzun kemikleri etkiler. Bu vakada, metastaza bağlı gelişen kırık nedeniyle sol kol işlevini kaybeden hastanın tedavisi başarıyla gerçekleştirildi.
Detaylı Hasta Bilgileri ve Tedavi Süreci
Hasta Bilgileri
• 55 yaş erkek hasta
• Akciğer kanseri nedeniyle tedavi görmekte
• Bir aydır devam eden sol kol ağrısı son günlerde şiddetlenmiş
• Ani ağrı sonrası kolunu kullanamaz hale gelmiş
Uygulanan Tedavi
Sol kol kemiği (humerus) metastazına bağlı kırık nedeniyle kapalı çivileme işlemi başarıyla uygulandı.
Sonuç
Ameliyat sonrası dönemde herhangi bir komplikasyon gelişmedi. Hasta ameliyatın birinci gününde kolunu güvenle kullanmaya başladı ve taburculuk sonrası radyasyon onkolojisine yönlendirildi.
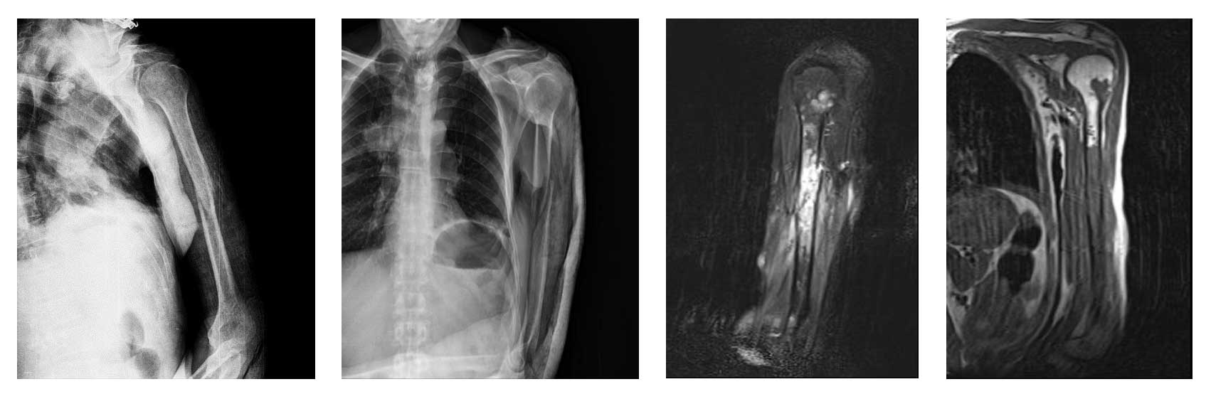
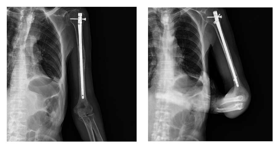
Görsel Açıklamaları

Ameliyat Öncesi: Röntgende sol humerus orta kısımda ayrışmış kırık, MR’da humerus orta kısmı dolduran ayrıca üst kısımda da tutuluma neden metastaz odağı görünmekte.

Ameliyat Sonrası: Röntgende sol humerus kemiği içinde intramedüller çivi görülmekte.

