Vaka 5: Meme Kanseri Sol Kol (Humerus) Kemiği Metastazına Bağlı Kırık
- Gösterim: 13
Meme kanseri tanısı bulunan 73 yaş kadın hastada, sol kol kemiğinde (humerus) metastaza bağlı gelişen kırık cerrahi olarak başarılı şekilde tedavi edilmiştir. Hastanın ağrısı giderilmiş, kol fonksiyonu korunarak yaşam kalitesi artırılmıştır.
Detaylı Hasta Bilgileri ve Tedavi Süreci
Hasta Bilgileri:
-
73 yaş kadın hasta
-
Meme kanseri nedeniyle tedavi öyküsü mevcut ve halen takipte
-
1,5 aydır sol kol ağrısı mevcut, ağrı giderek şiddetlenmiş
-
Ağırlık kaldırma sırasında kolunda ani ses ve şiddetli ağrı oluşmuş, sonrasında kolunu kullanamaz hale gelmiş
Uygulanan Tedavi:
Hastaya sol humerus metastazına bağlı gelişen kırık nedeniyle kapalı yerleştirme ve plaklama (internal fiksasyon) işlemi başarıyla uygulandı. Cerrahiyle hem kemik stabilitesi sağlanmış hem de ağrı kontrol altına alınmıştır.
Sonuç:
Ameliyat sırasında ve sonrasında herhangi bir komplikasyon gelişmemiştir. Hasta ameliyat sonrası dönemi sorunsuz geçirmiş ve taburcu edilerek radyasyon onkolojisine yönlendirilmiştir.
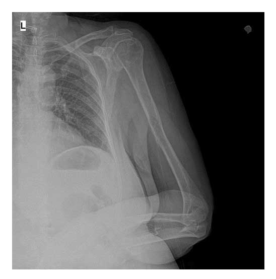
Görsel Açıklamaları

AAmeliyat Öncesi: Sol kol (Humerus) orta bölgede yeniklik ve ayrışmamış kırık görülmekte.

Ameliyat Sonrası: Anatomik titanyum plak ile fiksasyon uygulanımı görülmekte.

