CASE 7: Ewing sarcoma located in the iliac wing
- Hits: 40
- 16-year-old male patient
- He was diagnosed with Ewing sarcoma located in the left iliac wing and underwent chemotherapy treatment abroad.
- The patient's scans show no metastases.
- The patient underwent left internal hemipelvectomy and Girdlestone procedure.
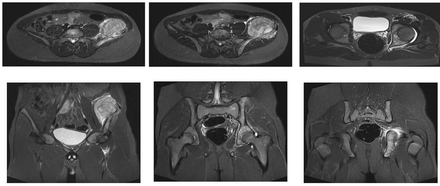
Before the surgery: An irregularity is observed on the left iliac wing.

Before the surgery: Periosteal reaction and damage are seen on the CT scan.

Before the surgery: The MRI shows tumor tissue accompanied by a soft tissue mass involving the entire left iliac crest.

During Surgery: Planning the incision line and identifying and protecting neurovascular structures.

During the Surgery: Clinical and fluoroscopic images of the resected tissue.

Post-Surgery: Girdlestone procedure after internal hemipelvectomy is shown.


