CASE 6: Ewing Sarcoma Pathological Fracture and Spinal Cord/Nerve Root Compression Due to Lumbar Spine Metastasis
- Hits: 46
- 28-year-old female patient
- A patient who underwent resection and reconstruction for left sacroiliac Ewing sarcoma presented with complaints of lower back/spine pain, numbness/tingling in the legs, and weakness during follow-up.
- The patient underwent successful two-level decompression, partial corpectomy, cementation, and lumbopelvic fixation for pathological fractures of the 2nd and 3rd lumbar vertebrae, epidural and root compression.
- The patient, who experienced no problems during or after the surgery, was referred for radiotherapy in the second week after wound healing.
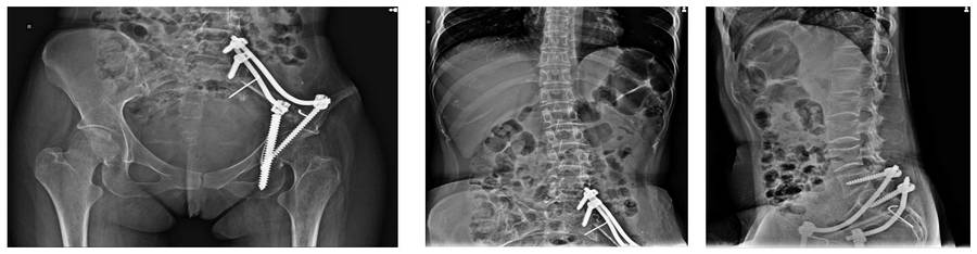
Before the surgery: The X-ray shows sacroiliac resection and reconstruction performed in the first surgery, as well as lumbar vertebral fractures and deformity.

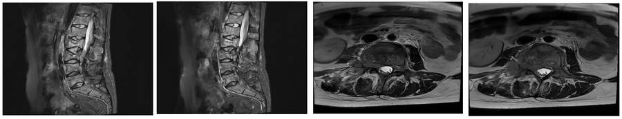
Before the surgery: MRI shows pathological fractures at two levels, as well as epidural and root compression.

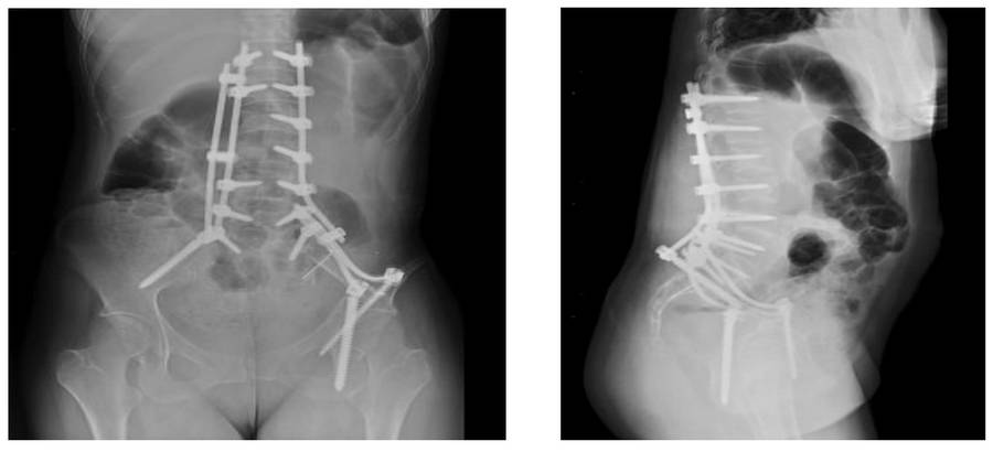
Post-surgery: The X-ray shows cementation and lumbopelvic fixation following partial laminectomy and corpectomy.


