CASE 36: Chondrosarcoma located in the ankle (distal tibia)
- Hits: 35
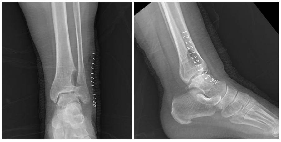
Our adult female patient, diagnosed with chondrosarcoma located in the distal tibia, underwent en bloc resection.
Before the surgery: X-ray shows an irregularly bordered mass in the anterolateral aspect of the distal tibia.

Before the surgery: The MRI shows an irregularly bordered, heterogeneous mass causing bone destruction in the same location.

During the Surgery: The incision line and the exposure of the mass are visible.

Post-Surgery: The X-ray shows the cavity that formed after the mass was removed.


