CASE 29: Chondrosarcoma located in the hip (femoral neck)
- Hits: 41
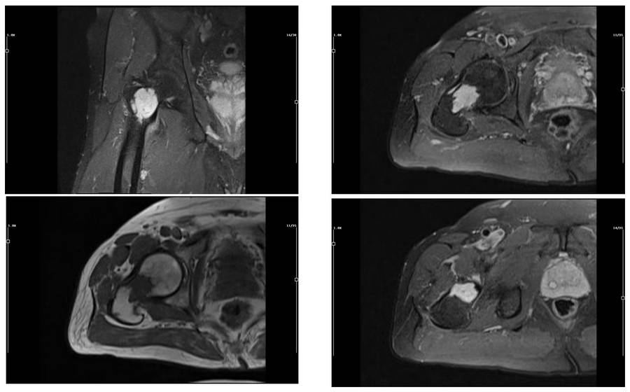
Our adult male patient underwent extensive resection and reconstruction with tumor prosthesis due to chondrosarcoma located in the femoral neck.
Before the surgery: X-ray shows a lytic lesion in the neck of the right femur.

Before the surgery: The CT scan also shows destruction in the anterior cortex.

Before the surgery: Tumor on MRIsIts borders appear irregular and it shows intense contrast.

During the Surgery: Measurements taken with the removed tumor and the experimental prosthesis.

Post-Surgery: The X-ray shows reconstruction with a tumor prosthesis after proximal femur resection.


