CASE 4: Recurrent Giant Cell Bone Tumor Located in the Sacrum
- Hits: 46
- 34-year-old male patient
- She had previously undergone surgery 3 times and received Denosumab treatment.
- Radiological examinations performed due to complaints of pain, numbness, and weakness revealed a recurrence.
Before the surgery: The X-ray shows bone damage and the screws used in the previous surgery, and the clinical image shows surgical scars.

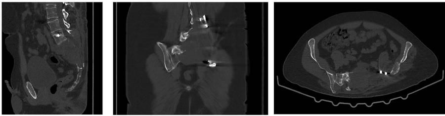
Before the surgery: CT scan shows significant bone damage and tumor recurrence.

During the Surgery: After the tumor that opened to the skin was removed, reconstruction (lumbopelvic fixation, cage and fibula) and wound closure (gluteal flap) were performed.

Post-operative: Wound closure appears to be problem-free.

Post-Surgery: X-ray shows lumbopelvic fixation, cage, and fibula reconstruction.


