Vaka 11: Akciğer Kanseri Leğen Kemiği (İliak Kanat) Metastazı
- Gösterim: 18
ChatGPT:
Detaylı Hasta Bilgileri ve Tedavi Süreci
Hasta Bilgileri:
60 yaş erkek hasta. Akciğer kanseri tanısı ile tedavi öyküsü mevcut. Sağ leğen kemiği arka kısmında metastaz nedeniyle daha önce radyoterapi uygulanmış ancak ağrı, şişlik ve yürüyememe şikayetleri tekrarlamıştır.
Uygulanan Tedavi:
Tümörlü doku cerrahi olarak çıkarıldı. Oluşan boşluk kemik çimentosu (PMMA) ile dolduruldu ve bölge vidalarla güçlendirilerek stabilizasyon sağlandı.
Sonuç:
Ameliyat sonrası dönemde ek bir komplikasyon gelişmeyen hasta, operasyon sonrası mobilize edilerek taburcu edildi. Ağrılarında belirgin azalma sağlandı ve yürüme fonksiyonu geri kazanıldı.
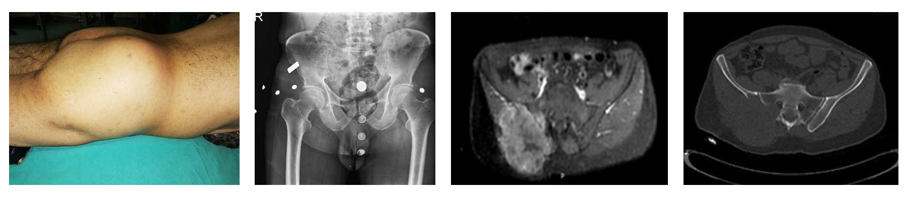
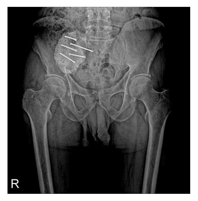
Görsel Açıklamaları

Ameliyat Öncesi: Klinik olarak şişlik, röntgende ise yeniklik (lizis), MR ve tomografide ağırlıklı olarak leğen kemiğinin arkasında ciddi yıkıma neden olan, sakrumu etkileyen ve büyük bir tümör dokusunun eşlik ettiği metastaz varlığı görülmekte.

Ameliyat Sonrası: Sağ sakroiliak eklemde vidalar ile tutturulmuş kemik çimentosu.

