Vaka 01: Sakroiliak Yerleşimli Nüks Dev Hücreli Tümör

43 yaşındaki kadın hasta, iki yıldır devam eden bel ağrısı ve şişlik şikâyeti ile değerlendirildi. Yurt dışında yapılan iğne biyopsisi sonrası dev hücreli kemik tümörü tanısı konuldu ve ameliyat edildi. Nüks gelişmesi üzerine 10 ay süreyle Denosumab tedavisi uygulandı. Tümör tek parça halinde çıkarıldı ve oluşan boşluk lumbopelvik fiksasyon ile cage kullanılarak yeniden yapılandırıldı.

  • 43 yaş kadın hasta
  • İki yıldır bel bölgesinde ağrı ve şişlik tanısı mevcut.
  • Yurt dışında iğne biyopsisi sonrası dev hücreli kemik tümörü tanısı konmuş ve ameliyat edilmiş.
  • Takiplerde nüks gelişmesi üzerine Denosumab tedavisi başlanmış ve 10 ay süreyle kullanmış
  • Tümör tek parça halinde çıkarıldıktan sonra oluşan boşluk lumbopelvik fiksasyon ve cage ile yeniden yapılandırıldı.

 

Görsel Açıklamaları

 

Ameliyat öncesi: Röntgende sağ sakroiliak bölgede düzensizlik ve skleroz görülmekte.

 

Ameliyat öncesi: Tomografide ve MR’da sakroiliak bölgede kemik harabiyeti ve yumuşak dokuya uzanmış düzensiz büyük kitle görülmekte.

Sakrum 23 2

 

Ameliyat EsnasıEski yara izi ile birlikte tümörün tek parça halinde çıkarılması görülmekte.

 

sakrum 23 6

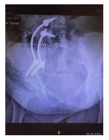
Ameliyat Sonrası: Tümör çıkarıldıktan sonra cage ve lumbopelvik fiksasyon ile yeniden yapılandırma görülmekte.

Ameliyat sonrası: Lumbopelvik fikasyon radyolojik görüntüsü


İletişim Bilgileri

Türkçe, English, Русский, O‘zbekcha

Adres

Teşvikiye Mah. Hakkı Yeten Cad.
Doğu İş Merkezi , No:15 Kat:7
Şişli, İstanbul
34365

Bir "TIK" Yakındayız

Please publish modules in offcanvas position.