Vaka 13: Rahim Ağzı (Serviks) Kanseri Sol Leğen Kemiği (Sakroiliak Eklem) Metastazı
- Gösterim: 17
ChatGPT:
Detaylı Hasta Bilgileri ve Tedavi Süreci
Hasta Bilgileri:
42 yaş kadın hasta. Serviks kanseri nedeniyle ameliyat ve medikal tedavi öyküsü mevcut. Sol sakroiliak bölgedeki metastaz nedeniyle radyoterapi görmüş, ancak yeterli fayda sağlanamamıştır. Hasta yürüyememekte, tekerlekli sandalye ile başvurmuş ve oturmakta dahi güçlük çekmektedir.
Uygulanan Tedavi:
Cerrahi sırasında sol bacağı besleyen ana damarların (eksternal iliak arter ve ven) tıkalı olduğu, barsağın (sigmoid kolon) ve idrar yolunun (üreter) tümör tarafından invaze edildiği görülmüştür. Tümör, komşu kemik ve yumuşak dokularla birlikte tek parça halinde çıkarılmıştır (sakroiliak rezeksiyon).
Ardından, üreter ve sigmoid kolon karın ön duvarına alınarak kolostomi oluşturulmuş; tıkalı damar bölümü çıkarılarak sentetik greft yardımıyla yeniden kan akışı sağlanmıştır. Yoğun enfeksiyon nedeniyle kemik rekonstrüksiyonu yapılmamış, bölge temizlenip yıkanmıştır.
Sonuç:
Ameliyat sonrasında hastanın yaşam fonksiyonları korunmuş, yoğun enfeksiyon kontrol altına alınmıştır. Hasta ileri dönem onkolojik tedavi ve rehabilitasyon sürecine yönlendirilmiştir.
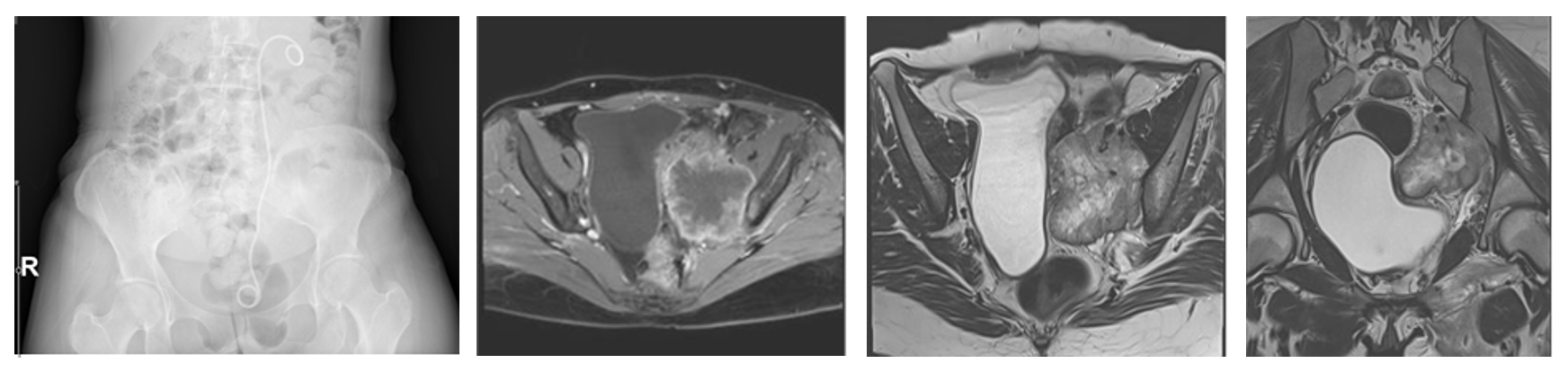
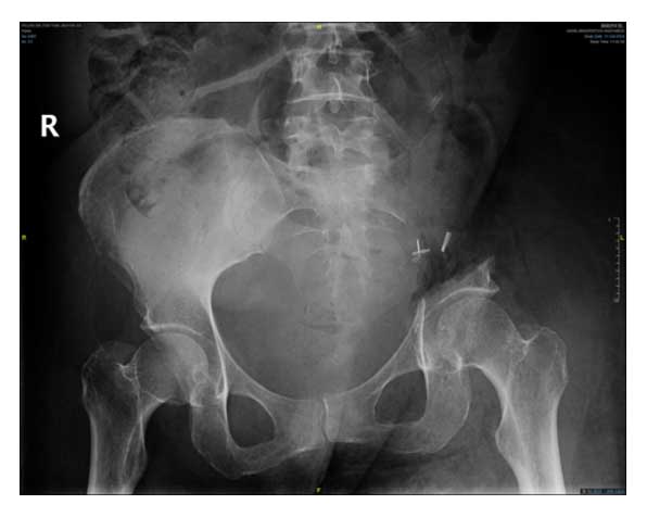
Görsel Açıklamaları

Ameliyat Öncesi: Röntgende sol üreterde katater dışında anlamlı görüntü yok iken MR’da sol sakroiliak eklem seviyesinde düzensiz sınırlı içinde gaz gölgesi olan ve mesaneyi iten büyük yumuşak doku kitlesi görülmekte.

Ameliyat Sonrası: Röntgende ol sakroiliak rezeksiyon görülmekte.

