Vaka 12: Böbrek Kanseri (Renal Hücreli) Leğen Kemiği (Pelvis) Metastazı
- Gösterim: 11
ChatGPT:
Detaylı Hasta Bilgileri ve Tedavi Süreci
Hasta Bilgileri:
54 yaş erkek hasta. Böbrek kanseri nedeniyle ameliyat öyküsü mevcut olup akıllı ilaç tedavisi kullanmaktadır. Bilinen kemik metastazları vardır. Beş aydır devam eden iki taraflı kalça ağrısı giderek artmış ve hasta yürümekte zorlanır hale gelmiştir.
Uygulanan Tedavi:
Radyoterapiden fayda görmeyen hastaya, pelvisteki tümörlü dokunun cerrahi olarak çıkarılması işlemi uygulandı. Oluşan boşluk kemik çimentosu (PMMA) ile dolduruldu ve titanyum plak ile güçlendirilerek stabilizasyon sağlandı.
Sonuç:
Ameliyat öncesi yürüme güçlüğü bulunan hasta, operasyon sonrası güvenli şekilde mobilize edildi. Cerrahi sonrası dönemde ek bir komplikasyon gelişmedi ve ağrılarında belirgin azalma sağlandı.
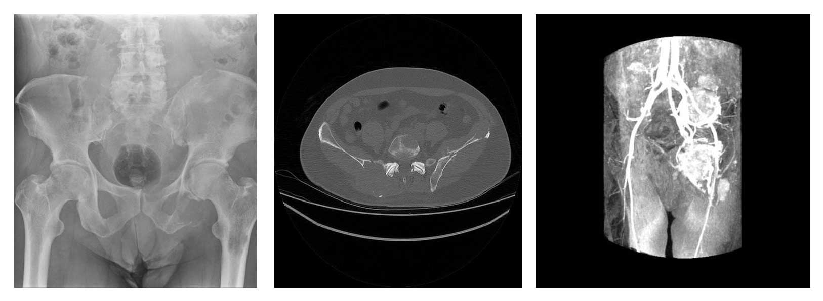
Görsel Açıklamaları

Ameliyat Öncesi: Pelvis röntgeninde birçok metastaz odağı, Tomografide ciddi harabiyet ve kırık, anjiyografide metastaz odaklarında yoğun kanlanma görülmekte.

Ameliyat Esnası: Tümörün temizlendikten sonra oluşan boşluğun kemik çimentosu ile doldurulması ve titanyum plak ile güçlendirilmesi görülmekte.

Ameliyat Sonrası: Tümörün temizlendikten sonra oluşan boşluğun kemik çimentosu ile doldurulması ve titanyum plak ile güçlendirilmesi ve yara iyileşmesi görülmekte.

