VAKA 8: Diz Çevresi Yerleşimli Miksofibrosarkom
- Gösterim: 25
Diz bölgesinde kitle nedeniyle başka bir hastanede plansız girişim yapılmış ve patoloji sonucu cerrahi sınır pozitif yumuşak doku sarkomu (Miksofibrosarkom) gelmiş hastaya yatak rezeksiyonu (temiz sınırlar ile kalıntı tümör çıkarma) ameliyatı yapıldı ve yara iyileşmesini takiben hasta radyasyon onkolojisine yönlendirildi.
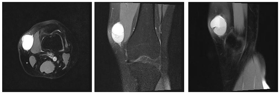
İlk Başvuru: MR’da diz medialde düzensiz sınırlı heterojen yumuşak doku kitlesi görülmekte

Ameliyat Öncesi: MR’da ilk ameliyat sonrası kalıntı tümör dokusu görülmekte

Ameliyat Esnası: Eski insizyon hattını çıkaracak şekilde planlama, tümör çıkarıldıktan sonra oluşan boşluk ve yara kapama görülmekte


