VAKA 1: Omuz Yerleşimli Miksofibrosarkom
- Gösterim: 54
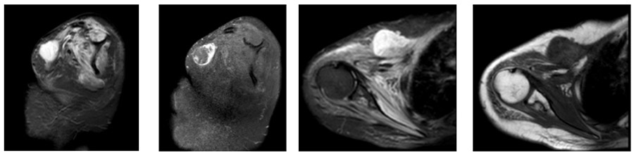
Omuz bölgesinde şişlik ile başvuran hastanın klinik muayenesi ve radyolojik tetkiklerinde yumuşak doku tümörü saptandı. İğne biyopsisinde yumuşak doku sarkomu (Miksofibrosarkom) tanısı konulan hastanın taramalarında metastaz saptanmaması üzerine radyoterapiyi takiben geniş rezeksiyon ile tümör temiz sınırlar ile çıkarıldı.
Ameliyat Öncesi: Röntgende özellik yok iken PET-CT’de artmış yoğun aktivite görülmekte

Ameliyat Öncesi: MR’da omuz ön kısımda yerleşmiş düzensiz sınırlı heterojen kitle görülmekte

Ameliyat Esnası: Omuz ön kısımda şişlik, tümör çıkarıldıktan sonra oluşan boşluk ve cilt kapama görülmekte


