VAKA 5: Uyluk Yerleşimli Miksofibrosarkom
- Gösterim: 43
Uyluk bölgesinde şişlik ile bize başvuran ve yapılan iğne biyopsisinde yumuşak doku sarkomu (Miksofibrosarkom) tanısı konulup radyoterapiyi takiben tümörü temiz bir şekilde çıkarılan hastamız
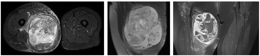
Ameliyat Öncesi: MR’da uyluk iç kısımda sınırları düzensiz, heterojen yumuşak doku kitlesi ve çevreleyen ödem görülmekte

Ameliyat Esnası: Çıkarılan tümör dokusu, oluşan boşluk ve siyatik sinir görülmekte


