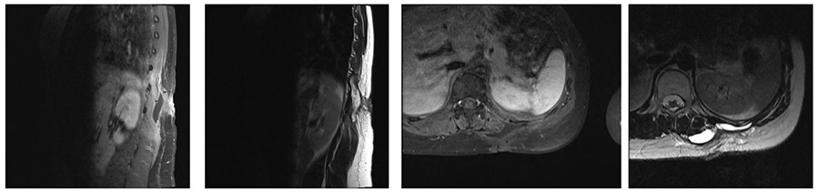
VAKA 6: Sırt Bölgesinde Leiomyosarkom
- Gösterim: 45
Sırt bölgesinde şişlik ile başvurduğu farklı bir merkezde biyopsi yapılmaksızın plansız eksizyon ameliyatı olan hastanın patoloji sonucu cerrahi sınır pozitif yumuşak doku sarkomu (Leiomyosarkom) gelmesi üzerine yapılan taramalarında metastaz saptanmadı. Tümör yapışık geniş rezeksiyon uygulanarak temiz sınırlarla çıkarıldı ve yara iyileşmesini takiben hasta radyoterapiye yönlendirildi
Ameliyat Öncesi: MR’da operasyon alanında kalıntı tümör dokusu ve sıvı birikimi görülmekte

Ameliyat Esnası: Eski insizyon hattı, planlama ve tümör çıkarıldıktan sonra oluşan boşluk görülmekte

Ameliyat Esnası: Üzerindeki eski insizyona hattı ile birlikte çıkarılan tümörün klinik görüntüsü görülmekte


