VAKA 10: Uyluk Yerleşimli Leiomyosarkom
- Gösterim: 46
Uyluk iç kısımda şişlik ile başvuran hastanın yapılan muayenesi ve radyoloji tetkiklerinde kitle saptanması üzerine uygulanan iğne biyopsisinde yumuşak doku sarkomu (Leiomyosarkom) tanısı kondu ve radyoterapiyi takiben geniş sınırlar ile tümör çıkarma ameliyatı gerçekleştirdik.
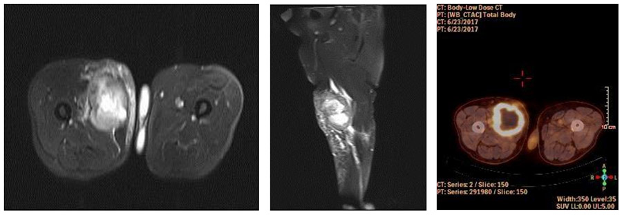
Ameliyat Öncesi: MR’da uyluk iç kısımda düzensiz sınırlı, merkezinde nekroz çevresinde ödemin eşlik ettiği heterojen kitle ile PET’de artmış periferik kontrastlanma görülmekte

Ameliyat Esnası: Çıkrılan tümörün klinik görüntüsü ve tümör çıkarıldıktan sonra oluşan boşluk görülmekte


