VAKA 1: Kol Yerleşimli Leiomyosarkom
- Gösterim: 54
Kolda şişlik ve ağrı ile farklı bir merkeze başvuran hastaya iyi huylu tümör ön tanısıyla biyopsi yapılmaksızın küretaj, grefonaj ve intramedüller çivi ile fiksasyon ameliyatı uygulanmış. Patoloji sonucu yumuşak doku sarkomu (Leiomyosarkom) gelen hastanın taramalarında metastaz saptanmaması üzerine radyoterapiyi takiben geniş rezeksizyon ile tümör temiz sınırlar ile çıkarıldıktan sonra geri kazanım ve proksimal femur tümör protezi ile rekonstrüksiyon işlemi uygulandı
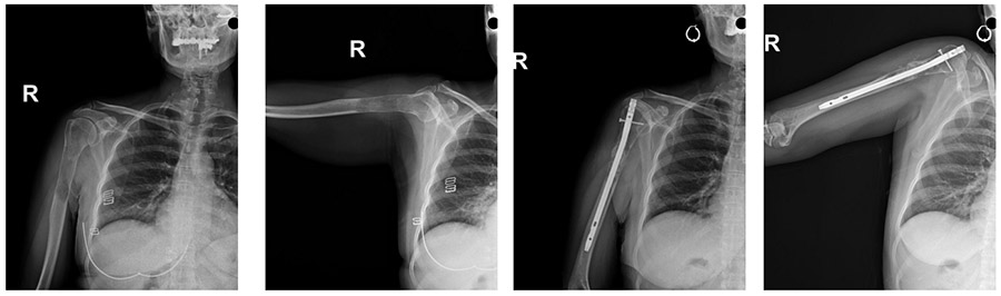
Ameliyat Öncesi: Röntgende ilk başvuru anında proksimal humerus yerleşimli sınırları belirsiz litik lezyon ve ilk ameliyat sonrası greft ve intramedüller çivi uygulanımı görülmekte

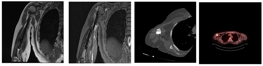
Ameliyat Öncesi: MR’da çivi nedeniyle yoğun artefak, PET_CT’de atmış aktivite görülmekte

Ameliyat Esnası: Çıkarılan tümörün klinik ve skopi görüntüsü görülmekte

Ameliyat Esnası: Axillar sinir, radial sinir, geri kazanılmış kemiğe stem yerleştirilmesi sonrası plak ile fiksasyonu , proksimal humerus tümör protezi yerleştirilmesi ve prolen mesh ile stüre edilmesi görülmekte

Ameliyat Sonrası: Röntgende rezeksiyon sonrası distalde geri kazanılan kemiğin anatomik plak ile fiksasyonu ve çimentolu proksimal humerus tümör protezi uygulanımı görülmekte


