VAKA 14: Bacak Yerleşimli Leiomyosarkom
- Gösterim: 48
Ayak bileği arka kısımda şişlik şikayeti ile başvuran hastanın yapılan muayenesi ve radyoloji tetkiklerinde yumuşak doku kitlesi saptanması üzerine uygulanan iğne biyopsisinde yumuşak doku sarkomu (Leiomyosarkom) tanısı konulup radyoterapiyi takiben tümörü temiz sınırlar ile çıkarma ve oluşan boşluğun rotasyonel flep ve cilt grefti ile kapama ameliyatını gerçekleştirdik.
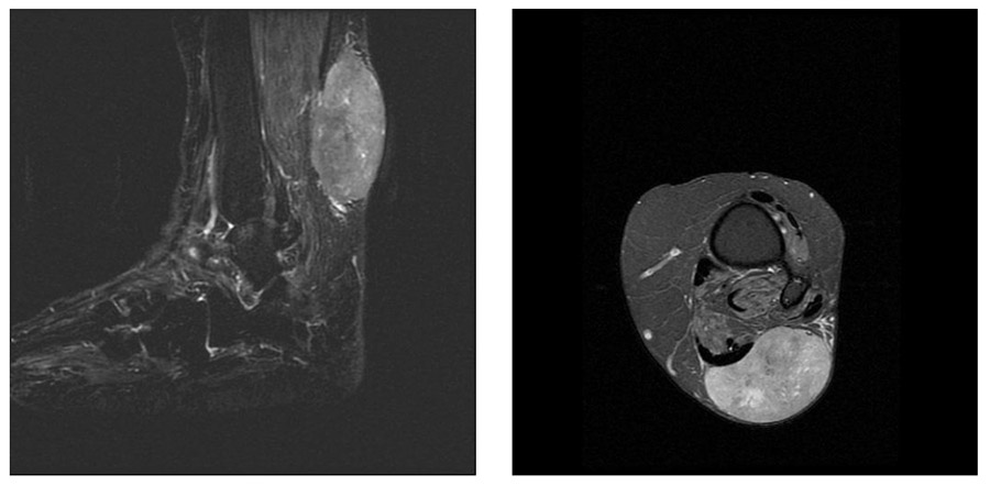
Ameliyat Öncesi: MR’da ayak bileği arka yüzde yerleşimli, heterojen yumuşak doku tümörü görülmekte

Ameliyat Esnası: Tümörün çıkarılmadan önce klinik görüntüsü, insizyon hattı ve çıkarıldıktan sonraki görüntüsü görülmekte

Ameliyat Esnası ve Sonrası: Rotasyon flebinin hazırlanması ve uygulanması ile yara iyileşmesi görülmekte


