VAKA 3: Omuz (Proksimal Humerus) Yerleşimli Dev Hücreli Kemik Tümörü
- Gösterim: 32
Omuz bölgesinde ağrı ve hareket kısıtlılığı şikayeti ile başvuran hastanın yapılan muayenesi ve radyolojik tetkiklerde proksimal humerus yerleşimli kitle saptandı. Ameliyathane koşullarında skopi altında kapalı iğne (jam-shidi) biyopsi yapılan hastanın patoloji sonucu dev hücreli kemik tümörü gelmesi üzerine agresif küretaj sonrası çimentolama ve plak ile fiksasyon ameliyatı gerçekleştirdik
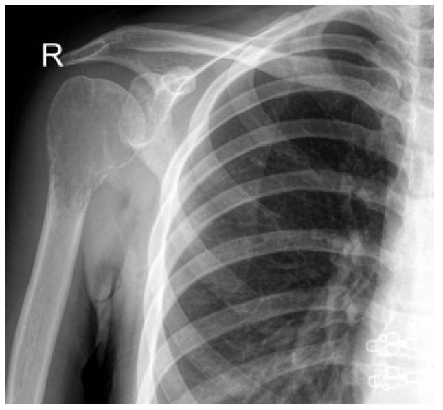
Ameliyat Öncesi: Röntgende proksimal humerus bölgesinde sınırları düzensiz litik lezyon görülmekte

Ameliyat Öncesi: Tomografide korteks destrüksiyonunun eşlik ettiği görülmekte

Ameliyat Öncesi: MR’da proksimal humerus yerleşimli çevreleyen ödemin eşlik ettiği, tümörün korteks dışına uzandığı heterojen kitle görülmekte

Ameliyat Sonrası: Röntgende proksimal humerusun çimento ile doldurulduğu ve anatomik plak ile fikse edildiği görülmekte


