VAKA 18: Diz (Distal Femur) Yerleşimli Dev Hücreli Kemik Tümörü
- Gösterim: 17
Dizde ağrı ve aksama şikayeti ile başvuran hastanın yapılan muayenesi ve radyolojik tetkiklerde distal femur yerleşimli kitle saptandı. Ameliyathane koşullarında skopi kontrolünde jam shidi iğne biyopsisi yapılan hastanın patoloji sonucu dev hücreli kemik tümörü gelmesi üzerine agresif küretaj sonrası çimentolama ve anatomik plak ile fiksasyon ameliyatı gerçekleştirdik
Ameliyat Öncesi: Röntgende sağ distal femur yerleşimli, korteksde ekspansiyona neden olan litik lezyon görülmekte.

Ameliyat Öncesi: MR’da sınırları düzensiz, yumuşak dokuya uzanım gösteren, çevreleyen ödemin eşlik ettiği heterojen kitle görülmekte

Ameliyat Esnası: Kapak açılması sonrası tümörün makroskopik görüntüsü ile küretaj sonrası oluşan boşluk görülmekte

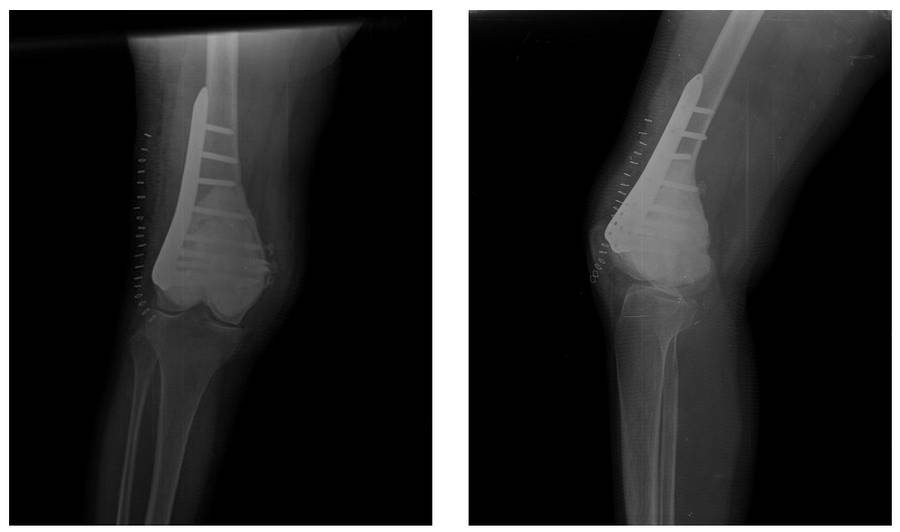
Ameliyat Sonrası: Röntgende çimento ve plak uygulanımı görülmekte


