Vaka 2: Böbrek (Renal Hücreli) Kanserinin Leğen Kemiği Metastazı Nedeniyle Nüks Eden Tümörün Tedavisi
- Gösterim: 815
Böbrek kanseri sonrası sol leğen kemiğine yayılan metastaz nedeniyle radyoterapi görmüş, ancak tümörü nüks eden 64 yaşındaki hastamız, radyofrekans ablasyon ve çimentolama işlemleriyle ağrılarından tamamen kurtuldu ve bir gün içinde normal yaşamına döndü.
- Yaş ve Cinsiyet: 64 yaşında erkek hasta.
- Geçmiş Tıbbi Öykü: 14 ay önce böbrek kanseri nedeniyle ameliyat oldu. 6 ay önce sol leğen kemiği (iliak kanat) metastazı tespit edilmesi üzerine radyoterapi uygulandı.
Durumun Değerlendirilmesi:
Son bir aydır devam eden ve giderek şiddetlenen ağrılar nedeniyle yapılan muayene ve radyolojik tetkikler sonucunda tümörün tekrarladığı (nüks ettiği) görüldü.
Uygulanan Tedavi:
Hastaya genel anestezi altında, özel görüntüleme yöntemleri (O-arm cihazı) eşliğinde kapalı (perkütan) yakma işlemi (radyofrekans ablasyon) ve çimentolama (sementasyon) işlemi başarıyla uygulandı.
Tedavi Sonuçları:
İşlem sonrası ağrıları tamamen geçen hasta, desteksiz yürüyerek bir gün sonra sorunsuz bir şekilde taburcu edildi.
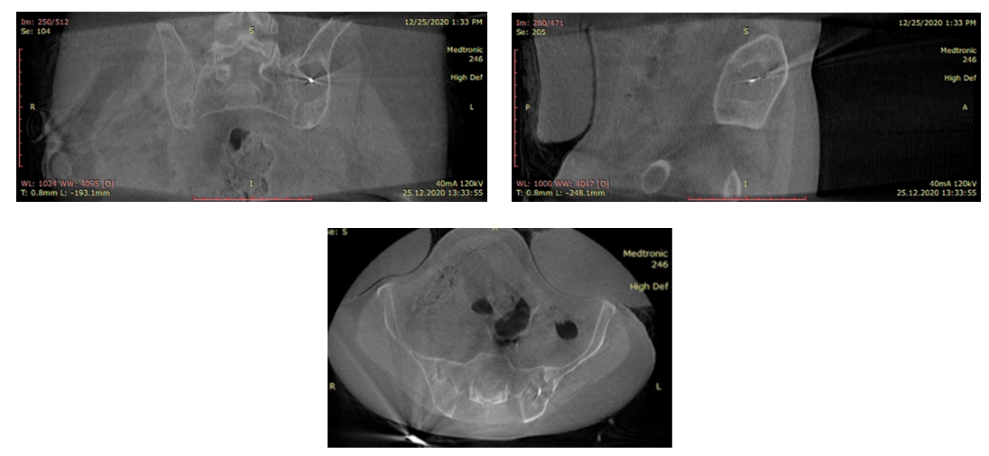
İşlem Detayları:
-
İşlem Öncesi Görüntüleme:
- Tomografi görüntüsünde belirgin kemik yıkımı.
- MR görüntüsünde tümör çevresinde ödem.

2. İşlem Sırasında:
- Ameliyathanede O-arm cihazı rehberliğinde, cihazın (prob) tümörün merkezine yerleştirilmesi.
- Her üç kesitte cihazın tümörün tam merkezinde olduğu teyit edildi.

3. İşlem Sonrası:
- Tümör yakıldıktan sonra aynı giriş noktası kullanılarak oluşan boşluk kemik çimentosu ile dolduruldu.


