VAKA 1: Ön Kol Yerleşimli Anjiosarkom
- Gösterim: 37
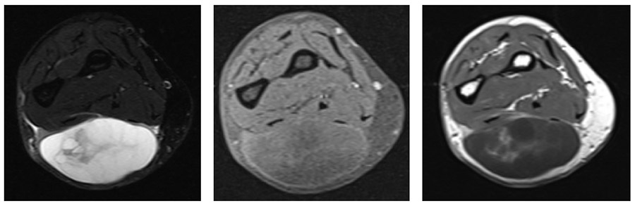
Ön kolda şişlik ve ağrı ile başvuran, yapılan iğne biyopsisinde yumuşak doku sarkomu (Anjiosarkom) tanısı konulan ve radyoterapi sonrası tümörü temiz sınırlar ile çıkardıktan sonra yumuşak doku örtümü (Cilt grefti) yapılan hastamız
Ameliyat Öncesi: MR’da ön kol dorsal kısımda sınırları düzensiz, heterojen yumuşak doku kitlesi görülmekte.

Ameliyat Esnası: İnsizyon hattının belirlenmesi, tümör çıkarıldıktan sonra oluşan boşluk ve çıkarılan tümörün klinik görüntüsü

Ameliyat Sonrası: Cilt greftinin tuttuğu görülmekte


