VAKA 15: Diz (Proksimal Fibula) Yerleşimli Anevizmal Kemik Kisti
- Gösterim: 10
Diz bölgesinde şişlik ve ağrı şikayeti ile tarafımıza başvuran, iğne biyopsisi ile anevrizmal kemik kisti tanısı konulup agresif küretaj sonrası küretaj yapılan erkek çocuğu hastamız.
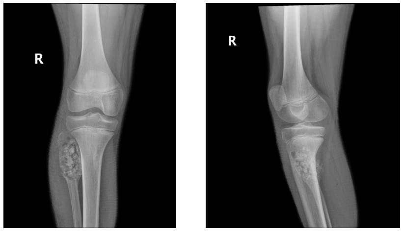
Ameliyat Öncesi: Röntgende proksimal fibulada harabiyete ve ekspansiyona neden olan litik lezyon görülmekte

Ameliyat Öncesi: MR’da kistik görünüm, periferik ödem ve kontrast tutulumu görülmekte

Ameliyat Esnası: İnsizyon hattı, fibular sinir, Küretaj sonrası oluşan boşluk görülmekte

Ameliyat Esnası: Küretaj öncesi ve grefonaj sonrası skopi görüntüsü görülmekte

Ameliyat Sonrası: Röntgende proksimal fibulaya greft uygulanımı görülmekte


