CASE 8: Lung cancer with spinal metastasis
- Hits: 143
- 47-year-old male patient
- He presented to us with complaints of progressive back pain and difficulty walking while undergoing treatment for lung cancer.
- The patient underwent surgery due to thoracic vertebral lung metastasis causing bone damage and severe spinal cord compression.
- The tumor causing spinal cord compression was completely removed (separation surgery), and stabilization was performed by instrumenting the upper and lower vertebrae with screws.
- The patient, whose pain subsided and nerve damage was repaired, was discharged walking without any problems.
- Approximately two weeks after surgery, following wound healing, the patient was referred to radiation oncology for radiotherapy.
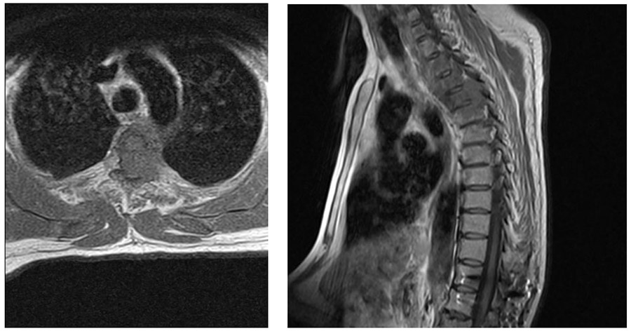
BEFORE THE OPERATION: MRI shows a mass filling almost the entire T3 vertebra and causing significant spinal cord compression.

DURING AND AFTER SURGERY: The procedure shows that the spinal cord has been freed from pressure, and the upper and lower vertebral bones have been reinforced with screws.


