Yumuşak Doku Tümörleri - TRT Haber
- Gösterim: 1446
Prof. Dr. Gümüştaş, TRT Haber'de, Yumuşak Doku Tümörleri hakkında bilgi verdi.
Sinovyal Sarkom
- Gösterim: 16347
Sinovyal sarkom, nadir görülen kötü huylu yumuşak doku tümörüdür. Sinovyal sarkom çok farklı yaşlarda görülebilse de sıklıkla genç erişkinlerde (15-35) ortaya çıkar.
Fibrosarkom - Mikrofibrosarkom
- Gösterim: 10572
Fibrosarkom nadir görülen kötü huylu yumuşak doku tümörüdür. Fibrosarkomun çocukluk (infantil) ve erişkinde görülen iki farklı tipi vardır.
Nonossifiye Fibrom (Fibröz Kortikal Defekt)
- Gösterim: 28849
Nonossifiye Fibrom diğer ismiyle Fibröz kortikal defekt olarak da bilinir. Tümör değildir. İyi huylu kemik lezyonudur.
Leiomyosarkom
- Gösterim: 34003
Nadir görülen kötü huylu yumuşak doku tümörüdür. Çok farklı yaşlarda görülebilse de sıklıkla orta yaş kadınlarda ortaya çıkarlar. Düz kas dokusundan kaynaklanır ve sıklıkla uyluk yerleşimlidir.
Fibröz Displazi
- Gösterim: 27619
Tümör değildir. İyi huylu lezyondur.
Anne karnında gelişim esnasında primitif kemiğin, matür lameller kemiğe dönüşüm defektidir. Displastik fibröz doku içinde immatür kemik trabekülaları vardır ve burada mineralizasyonun oluşmaz. Bu yapı mekanik strese dayanıksızdır. Bu nedenle mikrokırıklara ve şekil buzukluklarına neden olur. Sonuçda kemik yıkımında artış, displastik bir kemik doku ve mineralize olmamış matriks oluşumu gelişir.
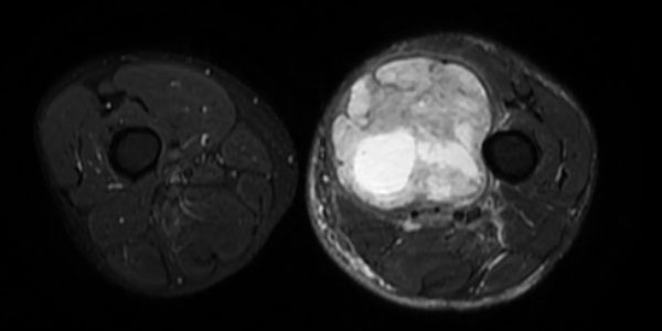
Liposarkom
- Gösterim: 45170
Kötü huylu yumuşak doku tümörleri arasında ikinci sıklıktadır. Nedeni tam olarak bilinmemektedir. Çok farklı yaşlarda görülebilir fakat sıklıkla 40 yaş sonrası ortaya çıkar.
Kemik Metastazı Nedir, Belirtileri Neler?
- Gösterim: 21884
Kemik metastazı, halk arasında kanserin kemiğe sıçraması olarak biliniyor. Peki Kemik metastazı belirtileri neler? Nasıl tedavi edilir? Acıbadem Fulya Hastanesi Ortopedi ve Travmatoloji, Ortopedik Onkoloji Uzmanı Doç. Dr. Seyit Ali Gümüştaş, kemik metastazına dair merak edilenleri anlattı.
İndiferansiyepleomorfik Sarkom - Malign Fibröz Histiositom
- Gösterim: 4985
En sık görülen kötü huylu yumuşak doku tümörüdür. Eski adıyla Malign fibröz histiositom olarak da bilinir.
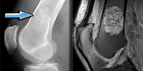
Osteokondrom - Ekzostoz
- Gösterim: 50498
Osteokondroma en sık iyi huylu kemik tümörüdür (%35). Erkeklerde biraz daha sık. Bir çoğuna 20 yaşına kadar tanı konur.
Osteoid Osteoma
- Gösterim: 15908
Kemiğin iyi huylu tümörüdür. Nedeni tam olarak bilinmemektedir. Ailesel ya da çevresel neden tespit edilememiştir.
Vertebroplasti
- Gösterim: 26192
Vertebra (omurga) kırıklarında uygulanan kapalı (minimal invaziv) çimentolama işlemidir.
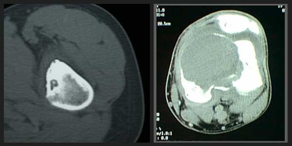
Dev Hücreli Kemik Tümörü (Osteoklastom)
- Gösterim: 16704
Nedeni tam olarak bilinmemektedir ve osteoklastom olarak da adlandırılmaktadır. Kemiğin iyi huylu fakat agresif tümörüdür. Agresiflikten kasıt bulunduğu kemikte yıkıma neden olur ve ameliyat sonrası tekrarlamaya yatkındır.
Kemik Yumuşak Doku Biyopsisi
- Gösterim: 16227
Biyopsi kelime anlamı: Yaşama bakış. Tanı koyma esnasında en son yapılacak olan işlemdir. Hastanın evrelendirilmesi için tümörün derecesi (grade) alınan materyalin patolojik incelenmesi ile tespit edilir.
Radyofrekans Ablasyon
- Gösterim: 19351
Radyofrekans (RF) ablasyon kısaca tümörün görüntüleme eşliğinde yüksek ısıda yakılması işlemidir. Bu yöntemde alternatif akım dokuda ısıya bağlı koagulasyon nekrozu oluşturarak tümör üzerinde eritme/küçültme etkisi gösterir.
Basit Kemik Kisti
- Gösterim: 46004
Genellikle çocuk ve genç yaşta görünür Tümör değildir. Nedeni tam olarak bilinmemekle birlikte birçok görüş bildirilmiştir.
Anevrizmal Kemik Kisti
- Gösterim: 13246
Anevrizmal kemik kisti gerçek tümör değildir. Agresif bir lezyondur. Bulunduğu kemiğe zarar verebilir ve ameliyat sonrası tekrarlayabilir.
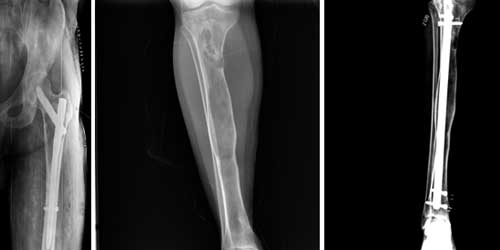
Ewing Sarkom
- Gösterim: 18063
Kemiğin küçük yuvarlak hücreli kötü huylu tümörü. Yıllık insidansı 3-4:1 milyondur. Sıklıkla genç hastalarda (<20 yaş) ortaya çıkar. En sık uzun kemiklerin (femur, humerus vs) diafizinde, pelviste ve skapula da saptanır.
Radyoloji Nedir?
- Gösterim: 166253
Kemik ve yumuşak doku tümörlerinde tanı: Klinik ve radyolojik değerlendirme sonrası gerekli durumlarda yapılacak biyopsi işlemi ile kesinleştirilir.
Trabzon'da “Primer Kemik Tümörleri” konulu toplantı yapıldı. Toplantıya çevre illerden de katılım oldu.
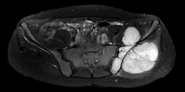
Kötü Huylu Yumuşak Doku Tümörleri (Yumuşak Doku Sarkomları)
- Gösterim: 30621
Dikkat: Kolunuz ya da bacağınızda ki şişliğin uzun zamandır var olması, küçük olması, büyümemesi ya da ağrısız olması kesin iyi huyludur anlamına gelmez! Teşhis ve tedavi için mutlaka Ortopedi hekimine başvurunuz
Osteosarkom
- Gösterim: 15787
Kemiğin en sık 2. kanseridir. Yıllık insidansı 4-6: 1 milyondur. Çoğu primer dediğimiz kendiliğinden ortaya çıkarken nadiren sekonder dediğimiz Paget hastalığı ya da radyasyon zemininde gelişebilir.
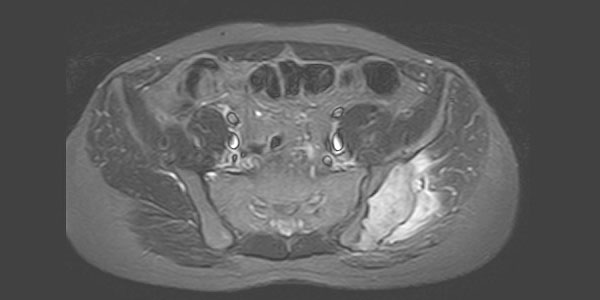
Kondrosarkom - Kıkırdak Doku Kaynaklı Kemiğin Kötü Huylu Tümörü
- Gösterim: 24397
Kıkırdak doku kaynaklı kemiğin kötü huylu tümörüdür. Sıklıkla 40 yaş sonrası ortaya çıkar. Erkeklerde daha sık görülür. En sık pelvis, kalça ve omuz çevresinde saptanır. Uzun kemiklerin sıklıkla metafiz bölgesinde yerleşir.
Omurga - Vertebra Tümörleri
- Gösterim: 158832
Omurga (Vertebra) tümörleri çeşitli şekillerde tanımlanabilir. Öncelikle omurga kemiği ile omurilik tümörlerini birbirinden ayırt etmek gerekiyor. Biz burada sizlere omurga kemiği tümörlerinden bahsedeceğiz.
Kemik Metastazları
- Gösterim: 56469
Kanserin kaynaklandığı organdan direk komşuluk, kan (sıklıkla) ya da lenf yolu ile kemiğe sıçramasıdır. Venöz yolla metastaz arterial yoldan daha sık. Meme prostat ve testis daha çok lenfojen yol ile yayılır.
Kemik Tümörünün 5 Belirtisi
- Gösterim: 78859
Dikkat! Bu hastalık sinsice ilerliyor! Kemik tümörü belirtilerini biliyor musunuz?
Biyopsi, Patoloji, Evreleme
- Gösterim: 34408
Biyopsi kelime anlamı: yaşama bakış. Tanı koyma esnasında en son yapılacak olan işlemdir.
Kordoma: Kemiğin Kötü Huylu, Yavaş Seyirli Tümörü
- Gösterim: 27487
Genellikle 40 yaş sonrası ortaya çıkar. En sık boyun (servikal vertebra) ve kuyruk sokumu (sakrum) olmak üzere omurga da yerleşir.
Enkondrom
- Gösterim: 43018
Hyalin kıkırdağın iyi huylu tümörüdür. Yerleşim yerine göre kemiğin içinde ise enkondrom, yüzeyinde ise jukstakortikal/periosteal kondrom, yumuşak dokunun içinde ise kondroma ve sinovyal membran proliferasyonu ilebirlikte gelişir ise sinovyal kondromatozis olarak adlandırılır.
Desmoid Tümör
- Gösterim: 11852
Agresif fibromatozis olarak da adlandırılır. Desmoid tümörün nedeni tam olarak bilinmemektedir fakat bazı vakalarda östrojen hormonu ve travma ile ilişkilendirilmiştir.
Dev Hücreli Tendon Tümörü
- Gösterim: 20399
İyi huylu fakat lokal agresif bir tümördür. Yani yerleştiği bölgede kemik ve eklem harabiyetine neden olabilir ve ameliyat sonrası tekrarlama riski yüksektir.
İletişim Bilgileri
Türkçe, English, Русский, O‘zbekcha
Adres
Teşvikiye Mah. Hakkı Yeten Cad.
Doğu İş Merkezi , No:15 Kat:7
Şişli, İstanbul
34365
- Türkçe, English, Русский, O‘zbekcha Medikal Koordinatör Online
Prof. Dr. Seyit Ali Gümüştaş
Ortopedi & Travmatoloji
Is there anything I can help you with?.
09.00Medikal Koordinatör
Türkçe, English, Русский, O‘zbekcha
Is there anything I can help you with?.
09.00
