Русский, O‘zbekcha, English, Türkçe
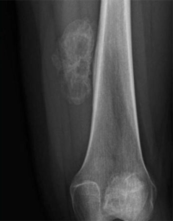
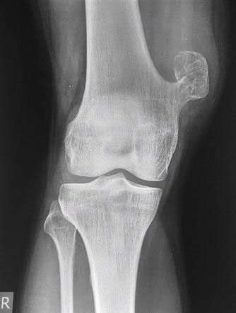
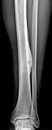
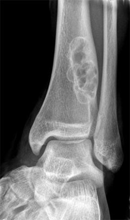
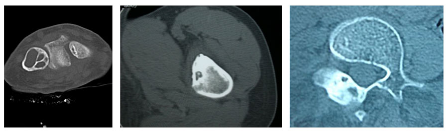
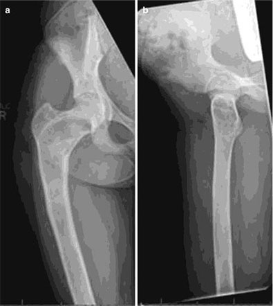
Опухоли костей являются редкими поражениями. Большая часть таких опухолей - доброкачественные образования, которые часто обнаруживаются случайно при радиологических исследованиях, проводимых по другим причинам. Что касается жалоб, они обычно проявляются отеком и болью. В редких случаях они обнаруживаются вследствие вызванного ими перелома в месте их расположения. Наиболее часто встречающимися доброкачественными образованиями являются остеоид-остеома, остеохондрома (экзостоз), энхондрома, неоссифицирующая фиброма, эозинофильная гранулема, простая костная киста, фиброзная дисплазия и внутрикостная липома / ганглия.

Teşvikiye Mah. Hakkı Yeten Cad.
Doğu İş Merkezi , No:15 Kat:7
Şişli, İstanbul, Türkiye
Медицинский координатор
Русский, O‘zbekcha, English, Türkçe
Is there anything I can help you with?.
09.00