Pelvis Tümörleri ve Hemipelvektomi

Vaka 18: Hemipelvis Yerleşimli Kondrosarkom

27 yaş erkek hastada sol hemipelvis yerleşimli kondrosarkom tanısı konuldu. Internal hemipelvektomi ve proksimal femur tümör protezi ile kalça transpozisyonu başarılı şekilde gerçekleştirildi.

 

Hasta Bilgileri

Yaş / Cinsiyet: 27 yaş, erkek
Başvuru Nedeni: Sol kalça ve kasık ağrısı, ayakta uyuşma ve yürüme güçlüğü

Tanı ve Bulgular

Kapalı iğne biyopsisi sonucunda kondrosarkom tanısı konuldu.
Taramalarda metastaz saptanmadı.

Tedavi Süreci

Hastaya internal hemipelvektomi uygulandı.
Rezeksiyon sonrası proksimal femur tümör protezi ile kalça transpozisyonu gerçekleştirildi ve pelvis stabilitesi sağlandı.

Cerrahi ve Ameliyat Sonrası Dönem

Ameliyat sorunsuz tamamlandı.
Hasta yara iyileşmesini takiben yakın takip altına alındı.

Sonuç

Sol hemipelvis yerleşimli kondrosarkom, internal hemipelvektomi ve proksimal femur protezi ile başarıyla tedavi edilmiştir.
Hasta cerrahi sonrası fonksiyonel olarak stabil ve multidisipliner takip altındadır.

 

Görsel Açıklamaları

 

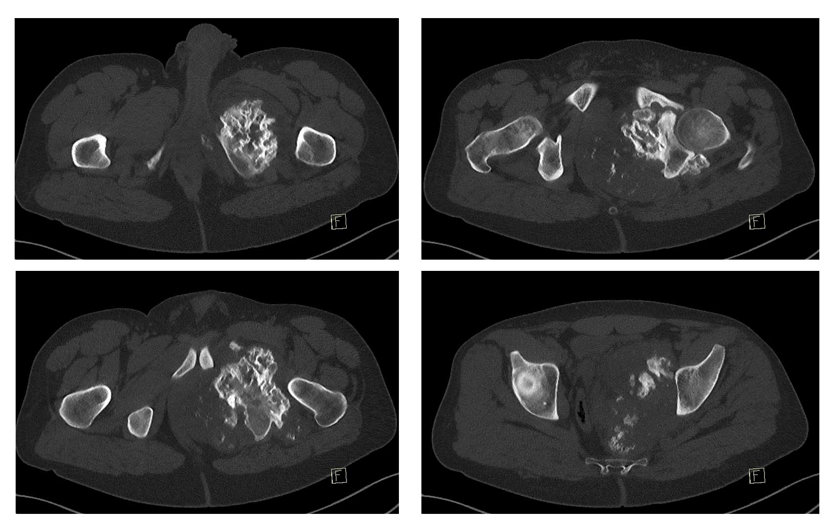
Ameliyat Öncesi: Röntgen ve 3BT’de sol asetabulum ve pubik kol kaynaklı obturator foromani ve hemipelvisi dolduran düzensiz sınırlı sklerotik tümör dokusu görülmekte.

vaka 17 1

Ameliyat Öncesi: MR’da aynı lokalizasyonda heterojen büyük yumuşak doku komponentinin eşlik ettiği tümör dokusu görülmekte.

vaka 13 2  

Ameliyat Öncesi: Tomografide kemik yüzeyde harabiyete neden olan kalsifikasyon içeren düzensiz sınırlı kitle görüntüsü görülmekte.

vaka 17 3

Ameliyat Esnası: Sakral laminektomi sonrası köklerin ortaya konulup korunması…

vaka 18 4

Ameliyat Esnası: Çıkarılan tümör dokusunun skopi ve klinik görüntüsü.

vaka 18 5

Ameliyat Sonrası: İyileşmiş insizyon hatları görülmekte.

vaka 18 6

Ameliyat Sonrası: Röntgende internal hemipelvektomi sonrası proksimal femur tümör protezi ile kalça transpozisyon işlemi görülmekte.

vaka 18 7


İletişim Bilgileri

Türkçe, English, Русский, O‘zbekcha

Adres

Teşvikiye Mah. Hakkı Yeten Cad.
Doğu İş Merkezi , No:15 Kat:7
Şişli, İstanbul
34365

Bir "TIK" Yakındayız

Please publish modules in offcanvas position.