Vaka 13: Sağ İliak Kanat Yerleşimli Ewing Sarkom
- Gösterim: 212
12 yaş erkek hastada sağ iliak kanat yerleşimli Ewing sarkom tanısı konuldu. Neoadjuvan kemoterapi sonrası internal hemipelvektomi ve fibula ile rekonstrüksiyon uygulanarak başarılı bir cerrahi tedavi gerçekleştirildi.
Hasta Bilgileri
Yaş / Cinsiyet: 12 yaş, erkek
Başvuru Nedeni: Sağ leğen kemiği bölgesinde ağrı, şişlik ve yürüme güçlüğü
Hastalık Süresi: Son birkaç aydır artış gösteren şikayetler
Tanı ve Bulgular
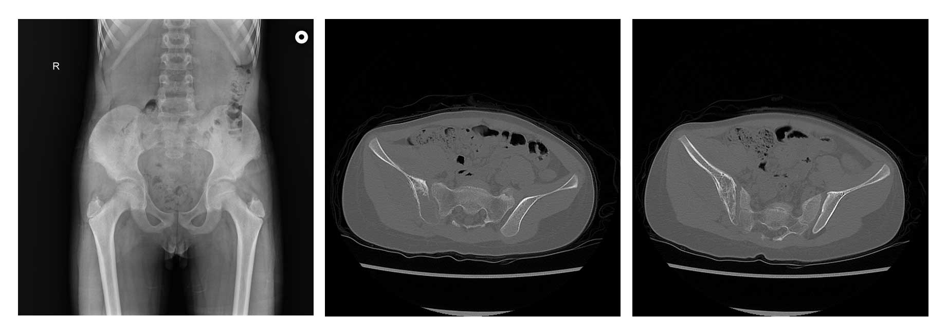
Radyolojik tetkiklerde sağ iliak kanat yerleşimli kemik harabiyetine yol açan kitle saptandı.
Kapalı iğne biyopsisi sonucunda Ewing Sarkom tanısı konuldu.
Tüm vücut taramalarında metastaz saptanmadı.
Tedavi Süreci
Hastaya tümör boyutunun küçültülmesi amacıyla neoadjuvan kemoterapi uygulandı.
Kemoterapi sonrası yapılan değerlendirmede cerrahi işlem planlandı ve internal hemipelvektomi gerçekleştirildi.
Rezeksiyon sonrası oluşan kemik defekti, fibula grefti ve lumbopelvik fiksasyon yöntemiyle rekonstrükte edildi.
Cerrahi ve Ameliyat Sonrası Dönem
Ameliyat sorunsuz tamamlandı ve operasyon sonrası dönemde herhangi bir komplikasyon yaşanmadı.
Yara iyileşmesini takiben hasta, kemoterapinin devamı için tıbbi onkoloji birimine yönlendirildi.
Sonuç
Sağ iliak kanat yerleşimli Ewing Sarkom tanılı hastada, multidisipliner yaklaşımla uygulanan cerrahi ve onkolojik tedavi süreci başarıyla tamamlanmıştır.
Hasta, cerrahi sonrası dönemde fonksiyonel ve onkolojik açıdan yakın takip altına alınmıştır.
Görsel Açıklamaları
Ameliyat Öncesi: Röntgende sağ iliak kanatta düzensizlik, tomografide kemik harabiyeti ve periost reaksiyonu görülmekte.

Ameliyat Öncesi: MR’da sağ ilaika kanatta yumuşak doku kitlesinin eşlik ettiği tümör dokusu görülmekte.

Ameliyat Esnası: Rezeksiyon sonrası nörovasküler yapıların korunduğu, fibula ve rod/vida ile rekonstrüksiyon uygulanımı görülmekte.
Ameliyat Esnası: Rezeksiyon dokusunun klinik ve skopi görüntüsü.
Ameliyat Sonrası: İnternal hemipelvektomi sonrası fibula ve rod/vida ile lumbopelvik fiksasyon uygulanımı görülmekte.

