Pelvis Tümörleri ve Hemipelvektomi

Vaka 9: Sakroiliak Yerleşimli Kondrosarkom

46 yaşındaki erkek hastada bel bölgesinde ağrı ve şişlik şikayetleriyle yapılan incelemelerde sakroiliak yerleşimli kondrosarkom tespit edilmiştir. Metastaz saptanmayan hastada tümör, temiz cerrahi sınırlar ile çıkarılmış; sakroiliak rezeksiyon sonrası rod ve vidalarla fiksasyon işlemi uygulanmıştır. Ameliyat sorunsuz tamamlanmış ve hasta takip altına alınmıştır.

 


Hasta Bilgileri:

  • 46 yaşında erkek hasta

Tanı ve Önceki Bulgular:

  • 5 aydır bel ağrısı ve şişlik şikayetleri mevcuttu.

  • Uzun süre oturma güçlüğü gelişmişti.

  • Tomografi eşliğinde yapılan iğne biyopsisi sonucu kondrosarkom tanısı konuldu.

  • Taramalarda metastaz saptanmadı.

Cerrahi Uygulama:

  • Tümör temiz cerrahi sınırlar ile çıkarıldı (sakroiliak rezeksiyon).

  • Sonrasında rod ve vidalarla fiksasyon işlemi gerçekleştirildi.

Tedavi Sonrası Süreç:

  • Ameliyat esnası ve sonrasında komplikasyon gelişmedi.

  • Hasta yakın takip programına alındı.

 

Görsel Açıklamaları

 

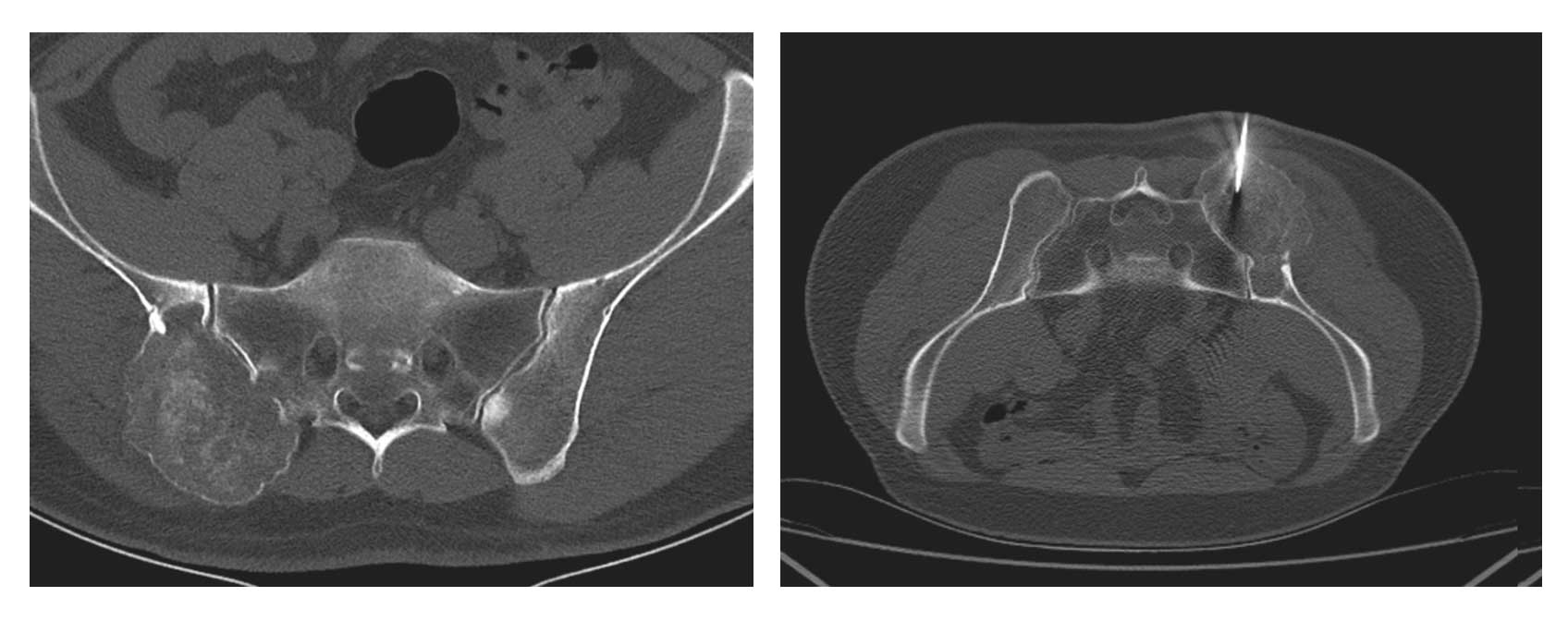
Ameliyat Öncesi: Tomografide sağ iliak kanat ve sakrum yerleşimli kemikte harabiyete neden olan tümör dokusu ve biyopsi iğnesi görülmekte.vaka 9 1

Ameliyat Öncesi: MR’da aynı lokalizasyonda düzensiz sınırlı, yumuşak dokuya uzanım gösteren tümör dokusu görülmekte.vaka 7 2

 Ameliyat Esnası: İnsizyon hattının planlanması.

vaka 5 3 

Ameliyat Esnası: Çıkarılan tümör dokusunun klinik ve radyolojik görüntüsü.

Sakrum 23 2

 

Ameliyat Esnası: Lomber ve sakral köklerin korunması ve tümör çıkarıldıktan sonra yapılan rekonstrüksiyon.

vaka 7 5

Ameliyat Sonrası: Sakroiliak rezeksiyon sonrası rod ve vidalar ile yapılan fiksasyon görülmekte.vaka 7 6

 

 


İletişim Bilgileri

Türkçe, English, Русский, O‘zbekcha

Adres

Teşvikiye Mah. Hakkı Yeten Cad.
Doğu İş Merkezi , No:15 Kat:7
Şişli, İstanbul
34365

Bir "TIK" Yakındayız

Please publish modules in offcanvas position.