Pelvis Tümörleri ve Hemipelvektomi

Vaka 6: Sakrum ve Pelvis (Leğen kemiği) Yerleşimli Osteosarkom

24 yaşındaki erkek hastada sakrum ve iliak kanat yerleşimli osteosarkom tanısı sonrası kemoterapi uygulanmıştır. Metastaz saptanmayan hastaya total sakrektomi ve hemipelvektomi sonrası lumbopelvik fiksasyon ve cage ile rekonstrüksiyon işlemi yapılmıştır. Yara kapatılması karın ön duvarından kaslı flep (VRAM) çevrilerek gerçekleştirilmiştir.

 


Hasta Bilgileri:

  • 24 yaşında erkek hasta

Tanı ve Önceki Tedavi:

  • Sakrum ve iliak kanat yerleşimli osteosarkom tanısıyla kemoterapi tedavisi uygulanmıştır.

  • Metastaz saptanmamıştır.

Cerrahi Uygulama:

  • Hastaya total sakrektomi ve hemipelvektomi sonrası lumbopelvik fiksasyon ve cage ile rekonstrüksiyon işlemi uygulanmıştır.

  • Karın ön duvarından kaslı flep (VRAM) çevrilerek yara kapatılmıştır.

Tedavi Sonrası Süreç:

  • Hasta cerrahi sonrası takip ve rehabilitasyon sürecine alınmıştır.

 

Görsel Açıklamaları

 

Ameliyat Öncesi: Röntgende sakrum ve iliak kanatda düzensizlik ve yoğunluk artışı görülmekte.vaka 6 1

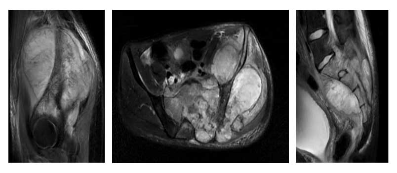
Ameliyat Öncesi: MR’da aynı bölgede büyük yumuşak doku komponentinin eşlik ettiği ve omurilik kanalını dolduran tümör dokusu görülmekte.

vaka 5 2

 Ameliyat Esnası: Batın önünden girilerek tümörün ana damarlardan sıyrılması ve kas flebinin hazırlanması sonrası arkaya dönülerek tümörün tek parça halinde çıkarılması görülmekte.

vaka 5 3

Ameliyat Sonrası: Röntgende lumbopelvik fiksasyon ve cage ile rekonstrüksiyon sonrası yaranın kapatılması görülmekte.

Sakrum 23 2

 


İletişim Bilgileri

Türkçe, English, Русский, O‘zbekcha

Adres

Teşvikiye Mah. Hakkı Yeten Cad.
Doğu İş Merkezi , No:15 Kat:7
Şişli, İstanbul
34365

Bir "TIK" Yakındayız

Please publish modules in offcanvas position.